Krämer A, Grüter P, Gröning K, Kastner B
Département de Biologie Cellulaire, Université de Genève, CH-1211 Genève 4, Switzerland.
J Cell Biol. 1999 Jun 28;145(7):1355-68. doi: 10.1083/jcb.145.7.1355.
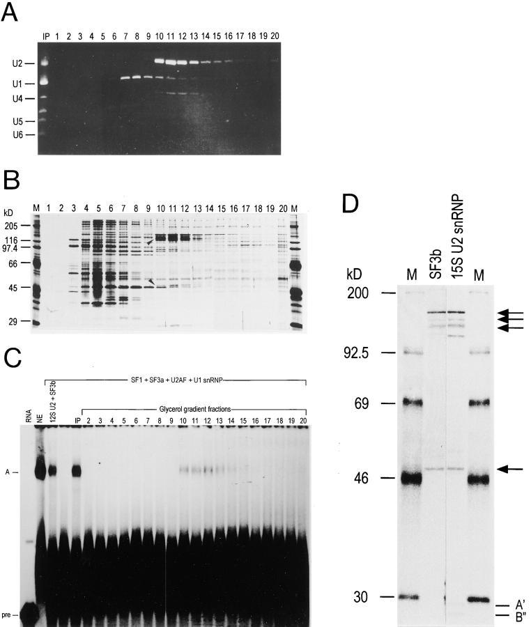
The 17S U2 small nuclear ribonucleoprotein particle (snRNP) represents the active form of U2 snRNP that binds to the pre-mRNA during spliceosome assembly. This particle forms by sequential interactions of splicing factors SF3b and SF3a with the 12S U2 snRNP. We have purified SF3b and the 15S U2 snRNP, an intermediate in the assembly pathway, from HeLa cell nuclear extracts and show that SF3b consists of four subunits of 49, 130, 145, and 155 kD. Biochemical analysis indicates that both SF3b and the 12S U2 snRNP are required for the incorporation of SF3a into the 17S U2 snRNP. Nuclease protection studies demonstrate interactions of SF3b with the 5' half of U2 small nuclear RNA, whereas SF3a associates with the 3' portion of the U2 snRNP and possibly also interacts with SF3b. Electron microscopy of the 15S U2 snRNP shows that it consists of two domains in which the characteristic features of isolated SF3b and the 12S U2 snRNP are conserved. Comparison to the two-domain structure of the 17S U2 snRNP corroborates the biochemical results in that binding of SF3a contributes to an increase in size of the 12S U2 domain and possibly induces a structural change in the SF3b domain.
17S U2小核核糖核蛋白颗粒(snRNP)代表了在剪接体组装过程中与前体mRNA结合的U2 snRNP的活性形式。该颗粒通过剪接因子SF3b和SF3a与12S U2 snRNP的顺序相互作用形成。我们从HeLa细胞核提取物中纯化了SF3b和15S U2 snRNP(组装途径中的一个中间体),并表明SF3b由49、130、145和155 kD的四个亚基组成。生化分析表明,SF3b和12S U2 snRNP都是将SF3a掺入17S U2 snRNP所必需的。核酸酶保护研究证明了SF3b与U2小核RNA的5'半部分相互作用,而SF3a与U2 snRNP的3'部分相关联,并且可能也与SF3b相互作用。15S U2 snRNP的电子显微镜观察表明,它由两个结构域组成,其中分离的SF3b和12S U2 snRNP的特征得以保留。与17S U2 snRNP的双结构域结构进行比较,证实了生化结果,即SF3a的结合导致12S U2结构域尺寸增加,并可能在SF3b结构域中诱导结构变化。