Suppr超能文献

扁平腺瘤中的早期结直肠癌。

Early colorectal cancer in a flat adenoma.

作者信息

Balachandar G, Trowers E A

机构信息

Department of Internal Medicine, Texas Tech University Health Sciences Center and South West Cancer Center, Lubbock, USA.

出版信息

J Natl Med Assoc. 1999 Nov;91(11):631-2.

Abstract

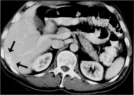
A 56-year-old man presented with intermittent rectal bleeding of six months' duration. Colonoscopy revealed three left colon polyps, one of which harbored adenocarcinoma. Endoscopic mucosal resection (band-assisted colonoscopic polypectomy) was successful. Endoscopic ultrasonography did not demonstrate any local or regional spread; however, abdominal computed tomography (CT) scan raised suspicion of an isolated metastasis to the liver. The patient's mother had recently died from metastatic colorectal cancer. When presented with the options of no surgery, postendoscopic mucosal resection, and CT-directed needle biopsy of the suspected isolated metastasis to the liver versus segmental resection of the flat adenoma site and wedge resection of the liver lesion for the maximum chance of a surgical cure, the patient opted for the surgical approach. Histopathology revealed no evidence of malignancy in the rectosigmoid colon, pericolonic lymph, or liver specimen. Awareness of increased risk of early cancer in flat adenomas with central depression is important because prompt recognition can lead to curative therapy.

摘要

一名56岁男性出现持续6个月的间歇性直肠出血。结肠镜检查发现左半结肠有3个息肉,其中1个含有腺癌。内镜黏膜切除术(带辅助结肠镜息肉切除术)成功。内镜超声检查未显示任何局部或区域扩散;然而,腹部计算机断层扫描(CT)扫描怀疑有孤立性肝转移。患者的母亲最近死于转移性结直肠癌。在面临不手术、内镜黏膜切除术后、对疑似孤立性肝转移进行CT引导下针吸活检,以及对扁平腺瘤部位进行节段性切除和对肝脏病变进行楔形切除以获得手术治愈最大机会的选择时,患者选择了手术方法。组织病理学显示,直肠乙状结肠、结肠周围淋巴结或肝脏标本中均无恶性肿瘤证据。认识到中央凹陷型扁平腺瘤早期癌变风险增加很重要,因为及时识别可导致治愈性治疗。

https://cdn.ncbi.nlm.nih.gov/pmc/blobs/3029/2608563/20e69c9780ae/jnma00356-0062-a.jpg

文献AI研究员

20分钟写一篇综述,助力文献阅读效率提升50倍。

立即体验

用中文搜PubMed

大模型驱动的PubMed中文搜索引擎

马上搜索

文档翻译

学术文献翻译模型,支持多种主流文档格式。

立即体验