Han Joungho, Lee Kyung Soo, Yi Chin A, Kim Tae Sung, Shim Young Mog, Kim Jhingook, Kim Kwhanmien, Kwon O Jung
Department of Diagnostic Pathology, Samsung Medical Center, Sungkyunkwan University School of Medicine, Seoul, Korea.
Korean J Radiol. 2003 Jan-Mar;4(1):46-53. doi: 10.3348/kjr.2003.4.1.46.
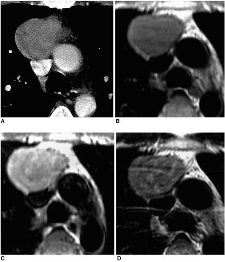
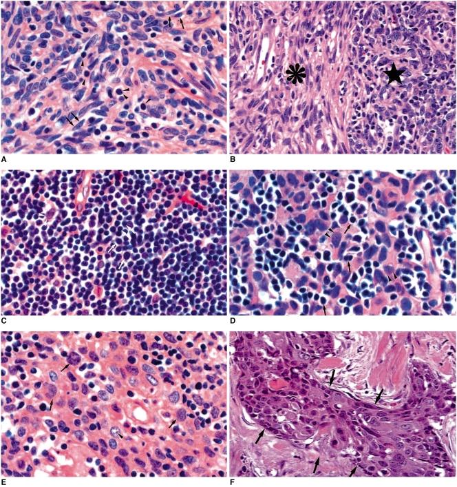
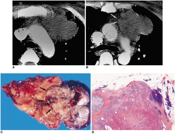
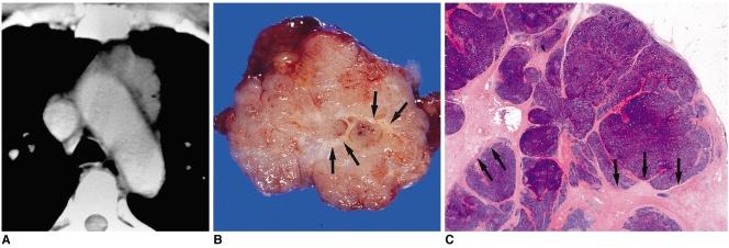
Thymic epithelial tumor is a distinctive pathologic entity exhibiting variable histologic features and heterogeneous oncologic behavior. Among the various classification systems, that of the World Health Organization has been adopted because of good correlation between histologic appearance and oncologic behavior. Radiologically, a smooth contour and round shape are most suggestive of a type-A tumor, whereas an irregular contour most strongly suggests type C. Pleural seeding is rare in type-A and AB tumors; calcification is suggestive of type B. Type-C tumors are significantly larger and more commonly associated with lymphadenopathy than type B3. At T2-weighted MR imaging, lobular internal architecture is more prominent in types B1, B2, and B3 tumors than in others. However, imaging findings among the various types overlap to some extent, and the ability of imaging studies to differentiate types AB, B1, B2, and B3 is limited.
胸腺上皮肿瘤是一种具有独特病理特征的实体,其组织学特征多样,肿瘤行为异质性。在各种分类系统中,世界卫生组织的分类系统因其组织学表现与肿瘤行为之间的良好相关性而被采用。在影像学上,轮廓光滑且呈圆形最提示为A型肿瘤,而轮廓不规则最强烈提示为C型。A型和AB型肿瘤很少发生胸膜播散;钙化提示为B型。C型肿瘤比B3型肿瘤明显更大,且更常伴有淋巴结肿大。在T2加权磁共振成像上,B1、B2和B3型肿瘤的小叶内部结构比其他类型更明显。然而,不同类型之间的影像学表现存在一定程度的重叠,影像学检查区分AB型、B1型、B2型和B3型的能力有限。