Cepinskas Gediminas, Savickiene Jurate, Ionescu Carmen V, Kvietys Peter R
Program in Vascular Biology/Inflammation, Lawson Health Research Institute, London, Ontario, Canada N6A 4G5.
J Cell Biol. 2003 May 12;161(3):641-51. doi: 10.1083/jcb.200212048.
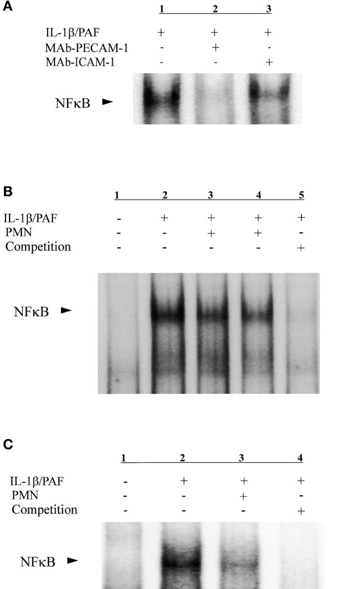
During the systemic inflammatory response, circulating cytokines interact with the vascular endothelium, resulting in activation and nuclear accumulation of the nuclear transcription factor, nuclear factor kappa B (NFkappaB). In turn, NFkappaB transactivates relevant proinflammatory genes, resulting in an amplification of the inflammatory response. Because this scenario is potentially detrimental to the host, mechanisms exist to limit this amplification. Using an in vitro system that mimics the vascular-interstitial interface during inflammation (cell culture inserts), we provide evidence for the existence of a novel negative feedback mechanism on NFkappaB activity. We show that the interleukin 1beta-induced accumulation of nuclear NFkappaB in human umbilical vein endothelial cell monolayers is dramatically reduced when polymorphonuclear leukocytes (PMN) are allowed to migrate across these monolayers. This effect does not appear to be due to PMN-derived elastase or nitric oxide. Fixed PMN (adhere but do not migrate) did not affect nuclear NFkappaB. Furthermore, cross-linking of platelet-endothelial cell adhesion molecule-1 (PECAM-1), but not intercellular adhesion molecule-1, reduces human umbilical vein endothelial cell nuclear NFkappaB induced by interleukin 1beta. Finally, interaction of PMN with PECAM-1-deficient endothelial cells does not reduce nuclear NFkappaB. These observations indicate that engagement of PECAM-1 by emigrating PMN is a pivotal event in this negative feedback on NFkappaB activity.
在全身炎症反应过程中,循环中的细胞因子与血管内皮相互作用,导致核转录因子核因子κB(NFκB)活化并在细胞核内蓄积。反过来,NFκB反式激活相关促炎基因,导致炎症反应放大。由于这种情况可能对宿主有害,因此存在限制这种放大的机制。利用一种体外系统(细胞培养插入物)模拟炎症期间的血管 - 间质界面,我们为NFκB活性存在一种新型负反馈机制提供了证据。我们发现,当多形核白细胞(PMN)被允许穿过人脐静脉内皮细胞单层时,白细胞介素1β诱导的细胞核NFκB在人脐静脉内皮细胞单层中的蓄积显著减少。这种效应似乎不是由于PMN衍生的弹性蛋白酶或一氧化氮所致。固定的PMN(粘附但不迁移)不影响细胞核NFκB。此外,血小板内皮细胞粘附分子 - 1(PECAM - 1)的交联而非细胞间粘附分子 - 1的交联,可降低白细胞介素1β诱导的人脐静脉内皮细胞核NFκB。最后,PMN与缺乏PECAM - 1的内皮细胞相互作用不会降低细胞核NFκB。这些观察结果表明,迁移的PMN与PECAM - 1的结合是这种对NFκB活性负反馈的关键事件。