Suppr超能文献

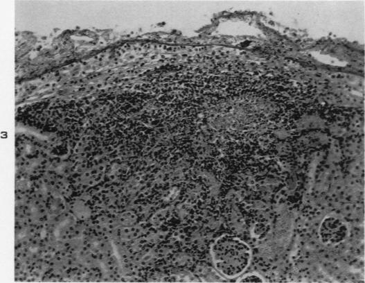
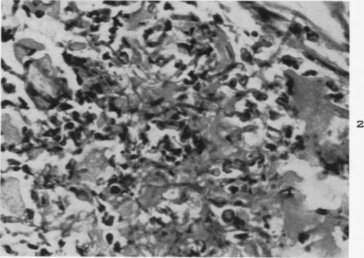
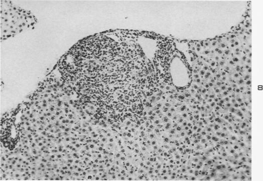
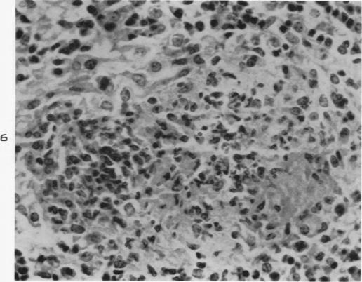
Experimental moniliasis in mice.

作者信息

ADRIANO S M, SCHWARZ J

出版信息

Am J Pathol. 1955 Sep-Oct;31(5):859-73.

Abstract
摘要
https://cdn.ncbi.nlm.nih.gov/pmc/blobs/fe05/1942487/5f2cde4279f7/amjpathol00699-0076-a.jpg

文献AI研究员

20分钟写一篇综述,助力文献阅读效率提升50倍。

立即体验

用中文搜PubMed

大模型驱动的PubMed中文搜索引擎

马上搜索

文档翻译

学术文献翻译模型,支持多种主流文档格式。

立即体验