Suppr超能文献

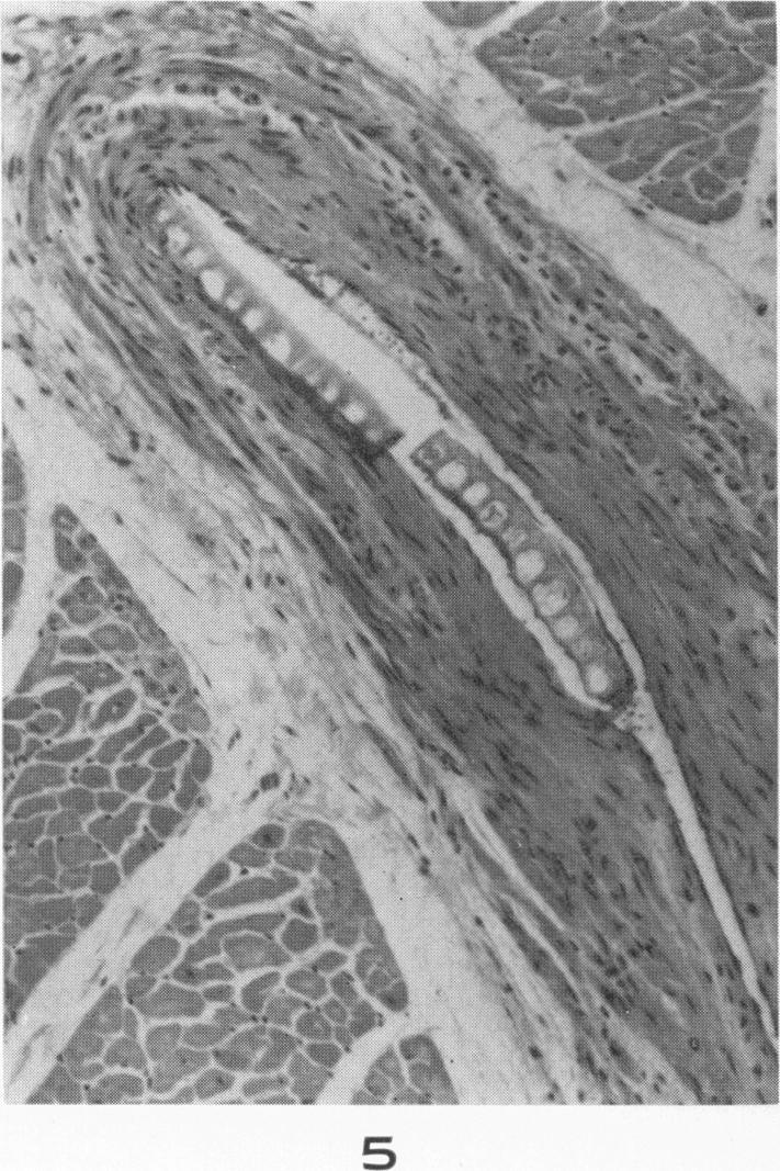
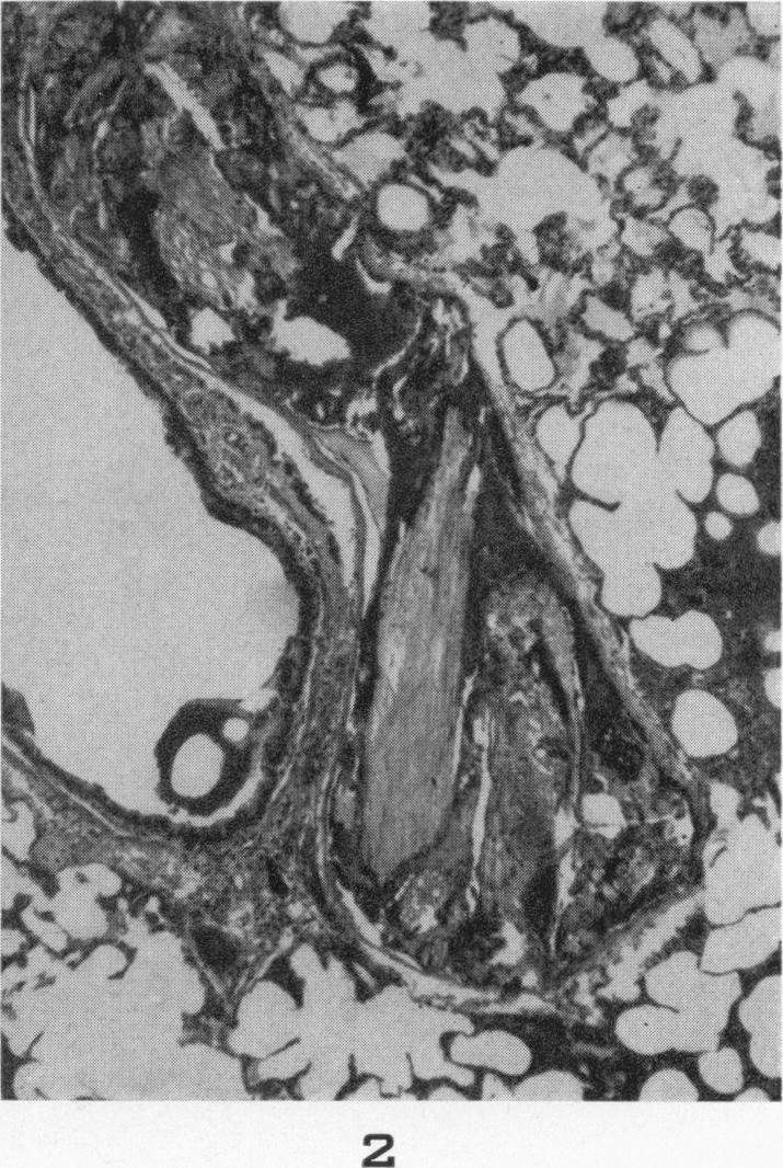
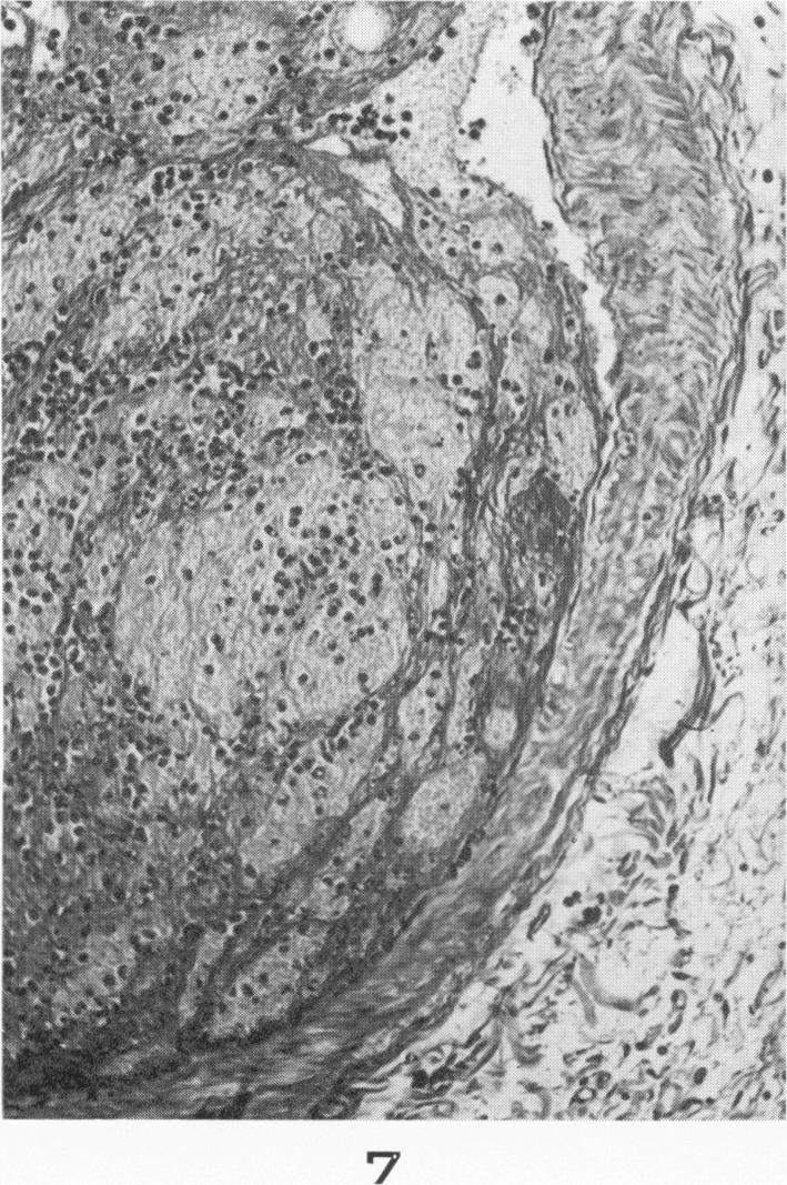
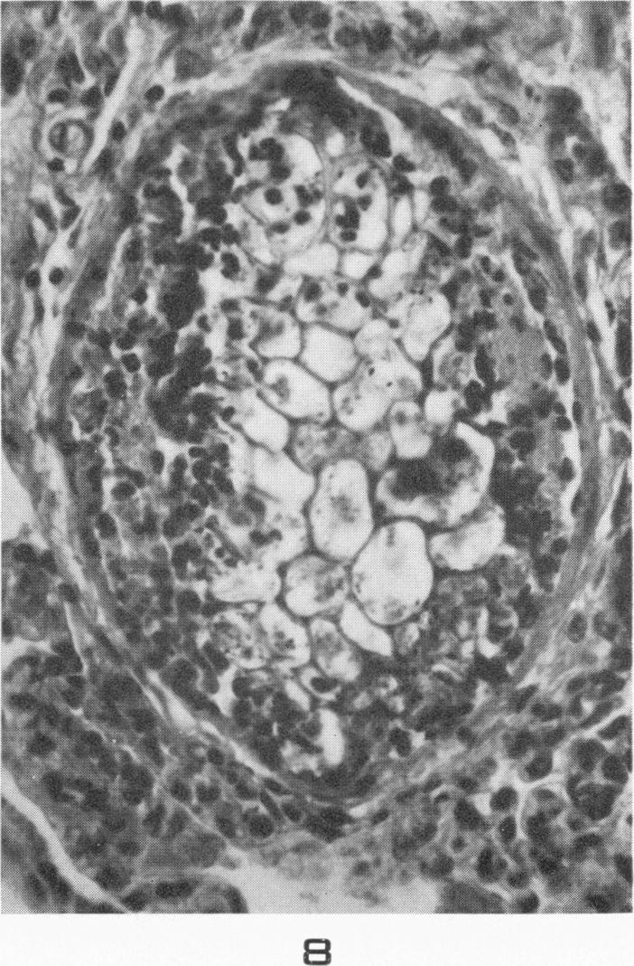
Chyme emboli in the lungs of goats wounded by missiles.

作者信息

LIGHT F W

出版信息

Am J Pathol. 1956 Jul-Aug;32(4):831-43.

Abstract
摘要
https://cdn.ncbi.nlm.nih.gov/pmc/blobs/99c4/1942698/510379128924/amjpathol00692-0184-a.jpg

文献AI研究员

20分钟写一篇综述,助力文献阅读效率提升50倍。

立即体验

用中文搜PubMed

大模型驱动的PubMed中文搜索引擎

马上搜索

文档翻译

学术文献翻译模型,支持多种主流文档格式。

立即体验