Suppr超能文献

A unique dedifferentiated tumor of the retroperitoneum.

作者信息

Karmali Shahzeer, Benediktson Halligrimur, Temple Walley, Bathe Oliver F

机构信息

Department of Surgery, University of Calgary, Calgary, AB, Canada.

出版信息

World J Surg Oncol. 2004 Jul 23;2:25. doi: 10.1186/1477-7819-2-25.

Abstract

BACKGROUND

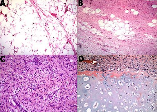
Dedifferentiated liposarcomas represent heterogeneous tumors with lipomatous and nonlipomatous elements starkly juxtaposed. It is thought that the high grade nonlipomatous elements of the tumor portend a worse prognosis.

CASE PRESENTATION

A 19.8 kg heterogeneous retroperitoneal tumor was successfully and completely resected. Because of its extent, no additional treatment modalities were practicable. The tumor soon recurred. The recurrent tumor differed from the primary tumor in that it was more homogeneous, consisting mainly of nonlipogenic, calcific tissue.

CONCLUSIONS

Dedifferentiated liposarcomas are known to have a very high recurrence rate. The biological behavior of dedifferentiated liposarcomas is likely dictated by the most aggressive element of these heterogeneous tumors.

摘要
https://cdn.ncbi.nlm.nih.gov/pmc/blobs/fa41/503399/91931c70a655/1477-7819-2-25-1.jpg

文献AI研究员

20分钟写一篇综述,助力文献阅读效率提升50倍。

立即体验

用中文搜PubMed

大模型驱动的PubMed中文搜索引擎

马上搜索

文档翻译

学术文献翻译模型,支持多种主流文档格式。

立即体验