Suppr超能文献

pp40/IκBβ与rel/NF-κB转录因子的直接关联:锚蛋白重复序列在抑制DNA结合活性中的作用。

Direct association of pp40/I kappa B beta with rel/NF-kappa B transcription factors: role of ankyrin repeats in the inhibition of DNA binding activity.

作者信息

Inoue J, Kerr L D, Rashid D, Davis N, Bose H R, Verma I M

机构信息

Molecular Biology and Virology Laboratory, Salk Institute, San Diego, CA 92186-5800.

出版信息

Proc Natl Acad Sci U S A. 1992 May 15;89(10):4333-7. doi: 10.1073/pnas.89.10.4333.

Abstract

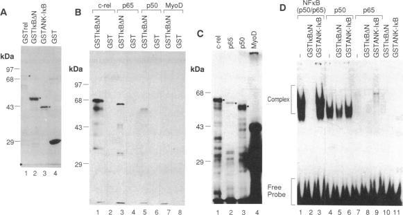
To understand the mechanism by which pp40/I kappa B beta inhibits DNA binding activity of the rel/NF-kappa B family of transcription factors, we have investigated the role of ankyrin repeats on the biological function of pp40 by deleting or mutating conserved residues. We show that (i) ankyrin repeats alone are not sufficient to manifest biological activity but require the C-terminal region of the pp40 protein; (ii) four out of the five ankyrin repeats are essential for inhibiting the DNA binding activity; (iii) pp40 mutants that do not inhibit DNA binding of rel protein also do not associate with rel; (iv) although pp40 can associate with the p65 and p50 subunits of NF-kappa B, pp40 inhibits the DNA binding activity of only the p50-p65 heterodimer and the p65 homodimer; and (v) pp40 inhibits the transcription of genes linked to kappa B site; however, mutants that do not affect DNA binding have no effect. We propose that the ankyrin repeats and the C-terminal region of pp40 form a structure that associates with the rel homology domain to inhibit DNA binding activity.

摘要

为了理解pp40/IκBβ抑制rel/NF-κB转录因子家族DNA结合活性的机制,我们通过缺失或突变保守残基来研究锚蛋白重复序列在pp40生物学功能中的作用。我们发现:(i)单独的锚蛋白重复序列不足以表现出生物学活性,而是需要pp40蛋白的C末端区域;(ii)五个锚蛋白重复序列中的四个对于抑制DNA结合活性至关重要;(iii)不抑制rel蛋白DNA结合的pp40突变体也不与rel结合;(iv)尽管pp40可与NF-κB的p65和p50亚基结合,但pp40仅抑制p50-p65异二聚体和p65同二聚体的DNA结合活性;(v)pp40抑制与κB位点相关基因的转录;然而,不影响DNA结合的突变体则无此作用。我们提出,pp40的锚蛋白重复序列和C末端区域形成一种结构,该结构与rel同源结构域结合以抑制DNA结合活性。

https://cdn.ncbi.nlm.nih.gov/pmc/blobs/b13c/49076/1d5a880cc2df/pnas01084-0123-a.jpg

文献AI研究员

20分钟写一篇综述,助力文献阅读效率提升50倍。

立即体验

用中文搜PubMed

大模型驱动的PubMed中文搜索引擎

马上搜索

文档翻译

学术文献翻译模型,支持多种主流文档格式。

立即体验