Chiplunkar S V, Kudalkar J L, Butlin R, Samson P D, Deo M G, Gangal S G
Immunology Division, Cancer Research Institute, Parel, Bombay, India.
J Clin Microbiol. 1992 Feb;30(2):336-41. doi: 10.1128/jcm.30.2.336-341.1992.
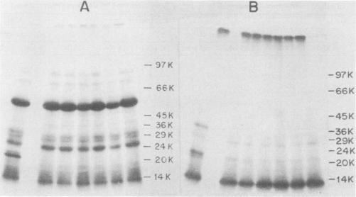
Sera from leprosy patients across the clinical spectrum, healthy contacts, tuberculosis patients, and healthy donors were tested for their reactivity with antigens of mycobacterial strain ICRC (a cultivable mycobacterium) and Mycobacterium leprae by immunoprecipitation technique. Using M. leprae antigens, it was not possible to distinguish between reactivities of sera from lepromatous, borderline lepromatous, borderline tuberculoid, and tuberculoid leprosy patients. All these sera identified M. antigens with molecular masses of 47, 36, 21, and 14 kDa. When the same sera were tested for their reactivities with antigens of mycobacterial strain ICRC, several differences were observed. The 21-kDa antigen of mycobacterial strain ICRC was exclusively precipitated by sera from all lepromatous leprosy patients and from those undergoing erythema nodosum leprosum reaction. Sera from all the other donors tested failed to identify the 21-kDa antigen of mycobacterial strain ICRC. The 14-kDa protein of mycobacterial strain ICRC was identified by sera from a few lepromatous leprosy patients (5 of 26) and all their contacts. Our studies indicate that antigens present on cultivable mycobacteria rather than species-specific antigens may prove to be useful in the serodiagnosis of leprosy.
采用免疫沉淀技术,对来自麻风病临床各型患者、健康接触者、肺结核患者及健康献血者的血清,检测其与分枝杆菌菌株ICRC(一种可培养的分枝杆菌)和麻风分枝杆菌抗原的反应性。使用麻风分枝杆菌抗原时,无法区分瘤型、界线类偏瘤型、界线类偏结核型和结核型麻风病患者血清的反应性。所有这些血清都能识别分子量为47、36、21和14 kDa的分枝杆菌抗原。当用同样的血清检测其与分枝杆菌菌株ICRC抗原的反应性时,观察到了一些差异。分枝杆菌菌株ICRC的21-kDa抗原仅被所有瘤型麻风病患者以及那些发生麻风结节性红斑反应患者的血清沉淀。所有其他受试献血者的血清均未能识别分枝杆菌菌株ICRC的21-kDa抗原。分枝杆菌菌株ICRC的14-kDa蛋白被少数瘤型麻风病患者(26例中的5例)及其所有接触者的血清识别。我们的研究表明,可培养分枝杆菌上存在的抗原而非种特异性抗原可能在麻风病的血清诊断中有用。