Suppr超能文献

利什曼原虫(恰加斯利什曼原虫)无鞭毛体半胱氨酸蛋白酶在细胞内寄生虫存活中的作用:通过基因敲除和反义mRNA抑制进行的研究

Role of Leishmania (Leishmania) chagasi amastigote cysteine protease in intracellular parasite survival: studies by gene disruption and antisense mRNA inhibition.

作者信息

Mundodi Vasanthakrishna, Kucknoor Ashwini S, Gedamu Lashitew

机构信息

Department of Biological Sciences, University of Calgary, Calgary AB T2N1N4, Canada.

出版信息

BMC Mol Biol. 2005 Feb 3;6:3. doi: 10.1186/1471-2199-6-3.

Abstract

BACKGROUND

The parasitic protozoa belonging to Leishmania (L.) donovani complex possess abundant, developmentally regulated cathepsin L-like cysteine proteases. Previously, we have reported the isolation of cysteine protease gene, Ldccys2 from Leishmania (L.) chagasi. Here, we have further characterized this cysteine protease gene and demonstrated its role during infection and survival of Leishmania (L.) chagasi within the U937 macrophage cells.

RESULTS

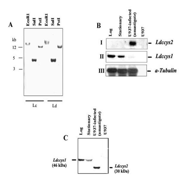
The amastigote specific Ldccys2 genes of L. (L.) chagasi and L. (L.) donovani have identical gene organization, as determined by southern blots. In vivo expression analyses by Northern blots showed that Ldccys2 is amastigote specific. Western blot using anti-Ldccys2 antibody confirmed the amastigote specific protein expression. Recombinant expression of Ldccys2, a 30 kDA protein, was functionally active in a gelatin assay. Results from Ldccys2 heterozygous knockout mutants showed its role during macrophage infection and in intra-macrophage survival of the parasites. Since attempts to generate null mutants failed, we used antisense RNA inhibition to regulate Ldcccys2 gene expression. Not surprisingly, the results from antisense studies further confirmed the results from heterozygous knockout mutants, reiterating the importance of amastigote specific cysteine proteases in Leishmania infection and pathogenesis.

CONCLUSIONS

The study shows that Ldccys2 is a developmentally regulated gene and that Ldccys2 is expressed only in infectious amastigote stages of the parasite. The collective results from both the heterozygous knockout mutants and antisense mRNA inhibition studies shows that Ldccys2 helps in infection and survival of L. (L.) chagasi amastigotes within the macrophage cells. Finally, antisense RNA technique can be used as an alternate approach to gene knockout, for silencing gene expression in L. (L.) chagasi, especially in cases such as this, where a null mutant cannot be achieved by homologous recombination.

摘要

背景

属于杜氏利什曼原虫复合体的寄生原生动物拥有丰富的、受发育调控的组织蛋白酶L样半胱氨酸蛋白酶。此前,我们已报道从恰加斯利什曼原虫中分离出半胱氨酸蛋白酶基因Ldccys2。在此,我们进一步对该半胱氨酸蛋白酶基因进行了表征,并证明了其在恰加斯利什曼原虫感染U937巨噬细胞及在细胞内存活过程中的作用。

结果

通过Southern印迹分析确定,恰加斯利什曼原虫和杜氏利什曼原虫的无鞭毛体特异性Ldccys2基因具有相同的基因结构。Northern印迹分析的体内表达结果表明Ldccys2是无鞭毛体特异性的。使用抗Ldccys2抗体的Western印迹证实了无鞭毛体特异性蛋白的表达。30 kDa蛋白Ldccys2的重组表达在明胶分析中具有功能活性。Ldccys2杂合敲除突变体的结果显示了其在巨噬细胞感染及寄生虫在巨噬细胞内存活过程中的作用。由于生成无效突变体的尝试失败,我们使用反义RNA抑制来调节Ldcccys2基因的表达。不出所料,反义研究的结果进一步证实了杂合敲除突变体的结果,重申了无鞭毛体特异性半胱氨酸蛋白酶在利什曼原虫感染和发病机制中的重要性。

结论

该研究表明Ldccys2是一个受发育调控的基因,且Ldccys2仅在寄生虫具有感染性的无鞭毛体阶段表达。杂合敲除突变体和反义mRNA抑制研究的综合结果表明,Ldccys2有助于恰加斯利什曼原虫无鞭毛体在巨噬细胞内感染和存活。最后,反义RNA技术可作为基因敲除的替代方法,用于沉默恰加斯利什曼原虫中的基因表达,特别是在像这样无法通过同源重组获得无效突变体的情况下。

https://cdn.ncbi.nlm.nih.gov/pmc/blobs/d2c1/549197/0081c27b15ea/1471-2199-6-3-1.jpg

文献AI研究员

20分钟写一篇综述,助力文献阅读效率提升50倍。

立即体验

用中文搜PubMed

大模型驱动的PubMed中文搜索引擎

马上搜索

文档翻译

学术文献翻译模型,支持多种主流文档格式。

立即体验