Suppr超能文献

原发灶不明癌中的血管生成:CD34、血管内皮生长因子和血小板反应蛋白-1的临床病理研究

Angiogenesis in cancer of unknown primary: clinicopathological study of CD34, VEGF and TSP-1.

作者信息

Karavasilis Vasilis, Malamou-Mitsi Vasiliki, Briasoulis Evangelos, Tsanou Elena, Kitsou Evangelia, Kalofonos Haralambos, Fountzilas George, Fotsis Theodore, Pavlidis Nicholas

机构信息

Medical Oncology Department, Ioannina University Hospital, Ioannina, Greece.

出版信息

BMC Cancer. 2005 Mar 3;5:25. doi: 10.1186/1471-2407-5-25.

Abstract

BACKGROUND

Cancer of unknown primary remains a mallignancy of elusive biology and grim prognosis that lacks effective therapeutic options. We investigated angiogenesis in cancer of unknown primary to expand our knowledge on the biology of these tumors and identify potential therapeutic targets.

METHODS

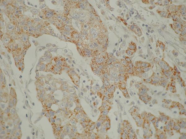
Paraffin embedded archival material from 81 patients diagnosed with CUP was used. Tumor histology was adenocarcinoma (77%), undifferentiated carcinoma (18%) and squamous cell carcinoma (5%). The tissue expression of CD34, VEGF and TSP-1 was assessed immunohistochemically by use of specific monoclonal antibodies and was analyzed against clinicopathological data.

RESULTS

VEGF expression was detected in all cases and was strong in 83%. Stromal expression of TSP-1 was seen in 80% of cases and was strong in 20%. The expression of both proteins was not associated with any clinical or pathological parameters. Tumor MVD was higher in tumors classified as unfavorable compared to more favorable and was positively associated with VEGF and negatively with TSP-1.

CONCLUSION

Angiogenesis is very active and expression of VEGF is almost universal in cancers of unknown primary. These findings support the clinical investigation of VEGF targeted therapy in this clinical setting.

摘要

背景

原发灶不明的癌症仍然是一种生物学特性难以捉摸且预后严峻的恶性肿瘤,缺乏有效的治疗选择。我们研究了原发灶不明癌症中的血管生成情况,以拓展我们对这些肿瘤生物学特性的认识并确定潜在的治疗靶点。

方法

使用了来自81例诊断为原发灶不明癌症患者的石蜡包埋存档材料。肿瘤组织学类型为腺癌(77%)、未分化癌(18%)和鳞状细胞癌(5%)。通过使用特异性单克隆抗体免疫组化评估CD34、VEGF和TSP-1的组织表达,并针对临床病理数据进行分析。

结果

所有病例均检测到VEGF表达,其中83%为强表达。80%的病例可见TSP-1的基质表达,20%为强表达。两种蛋白的表达均与任何临床或病理参数无关。与预后较好的肿瘤相比,分类为预后不良的肿瘤的肿瘤微血管密度更高,且与VEGF呈正相关,与TSP-1呈负相关。

结论

血管生成非常活跃,VEGF表达在原发灶不明的癌症中几乎普遍存在。这些发现支持在这种临床情况下对VEGF靶向治疗进行临床研究。

https://cdn.ncbi.nlm.nih.gov/pmc/blobs/6742/555600/b98e4ac7ba0d/1471-2407-5-25-1.jpg

文献AI研究员

20分钟写一篇综述,助力文献阅读效率提升50倍。

立即体验

用中文搜PubMed

大模型驱动的PubMed中文搜索引擎

马上搜索

文档翻译

学术文献翻译模型,支持多种主流文档格式。

立即体验