Suppr超能文献

Ductographic findings of breast cancer.

作者信息

Cho Nariya, Moon Woo Kyung, Chung Sun Yang, Cha Joo Hee, Cho Kyung Soo, Kim Eun Kyung, Oh Ki Keun

机构信息

Department of Radiology, Seoul National University College of Medicine, Institute of Radiation Medicine, Seoul, Korea.

出版信息

Korean J Radiol. 2005 Jan-Mar;6(1):31-6. doi: 10.3348/kjr.2005.6.1.31.

Abstract

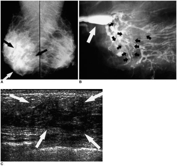
Ductography has become the gold standard for the evaluation of patients exhibiting pathologic nipple discharges. In nine patients (age range, 29-67 years; median age, 51 years) with invasive (n=5) or intraductal (n=4) cancer, ductographic findings were recorded, then correlated with mammographic and sonographic findings. Common ductographic findings included complete ductal obstruction, multiple irregular filling defects in the nondilated peripheral ducts, ductal wall irregularities, periductal contrast extravasation, and ductal displacement. Faint microcalcifications or ill-defined masses, which were not opacified by contrast material, were often discovered adjacent to ductal abnormalities. Mammographically and sonographically occult diffusely spreading intraductal cancers often manifested as pathologic nipple discharge. In such cases, meticulous ductographic examinations and interpretations were crucial in order not to miss breast cancers.

摘要
https://cdn.ncbi.nlm.nih.gov/pmc/blobs/9c13/2684994/8c6ac2d91993/kjr-6-31-g001.jpg

文献AI研究员

20分钟写一篇综述,助力文献阅读效率提升50倍。

立即体验

用中文搜PubMed

大模型驱动的PubMed中文搜索引擎

马上搜索

文档翻译

学术文献翻译模型,支持多种主流文档格式。

立即体验