Barlési F, Pinot D, Legoffic A, Doddoli C, Chetaille B, Torre J-P, Astoul P
Faculty of Medicine - Assistance Publique Hôpitaux de Marseille, Department of Thoracic Oncology, Fédération des Maladies Respiratoires, Hôpital Sainte-Marguerite, Marseille, France.
Br J Cancer. 2005 Aug 22;93(4):450-2. doi: 10.1038/sj.bjc.6602717.
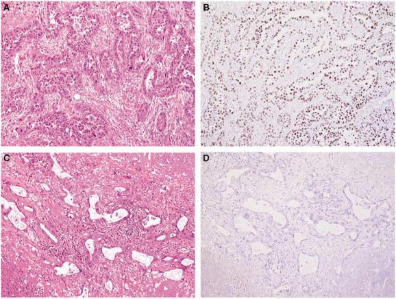
This study investigated the relation between positive thyroid transcription factor 1 (TTF1) staining and survival of patients affected by primary adenocarcinoma (ADC) of the lung. Pathological tissue from consecutive ADC patients was collected from 2002 to 2004. The anti-TTF1 antibody (8G7G3/1, dilution of 1/200) was used. Thyroid transcription factor 1 staining was assessed for each tumour as positive or negative. Probability of survival was estimated by Kaplan-Meier and difference tested by log-rank test. A Cox's regression multivariate analysis was carried out. In all, 106 patients were studied (66% male, 69% PS0-1, 83% with stage III or IV). Tumours expressed positive TTF1 staining in 66% of cases. Multivariate analysis demonstrated an independent lower risk of death for patients whose tumour expresses positive TTF1 staining (HR = 0.51, 95% CI 0.30-0.85; P = 0.01) and higher grade of differentiation (HR = 0.40, 95% CI 0.24-0.68; P = 0.001). In conclusion, positive TTF1 staining strongly and independently correlates with survival of patients with primary ADC of the lung.
本研究调查了甲状腺转录因子1(TTF1)阳性染色与原发性肺腺癌(ADC)患者生存率之间的关系。2002年至2004年收集了连续的ADC患者的病理组织。使用抗TTF1抗体(8G7G3/1,稀释度为1/200)。评估每个肿瘤的甲状腺转录因子1染色为阳性或阴性。采用Kaplan-Meier法估计生存率,并用对数秩检验进行差异检验。进行了Cox回归多因素分析。共研究了106例患者(66%为男性,69%的患者PS评分为0-1,83%为III期或IV期)。66%的病例肿瘤表达TTF1阳性染色。多因素分析表明,肿瘤表达TTF1阳性染色的患者死亡风险独立降低(HR = 0.51,95%CI 0.30-0.85;P = 0.01),且分化程度较高(HR = 0.40,95%CI 0.24-0.68;P = 0.001)。总之,TTF1阳性染色与原发性肺ADC患者的生存率密切且独立相关。