Suppr超能文献

鉴定LET-756/FGF相互作用组的直接和异源方法。

Direct and heterologous approaches to identify the LET-756/FGF interactome.

作者信息

Popovici Cornel, Berda Yael, Conchonaud Fabien, Harbis Aurélie, Birnbaum Daniel, Roubin Régine

机构信息

Institut de Cancérologie de Marseille, Laboratoire d'Oncologie Moléculaire, Institut Paoli-Calmettes et UMR599 INSERM, 27 Bd. Leï Roure, 13009 Marseille, France.

出版信息

BMC Genomics. 2006 May 3;7:105. doi: 10.1186/1471-2164-7-105.

Abstract

BACKGROUND

Fibroblast growth factors (FGFs) are multifunctional proteins that play important roles in cell communication, proliferation and differentiation. However, many aspects of their activities are not well defined. LET-756, one of the two C. elegans FGFs, is expressed throughout development and is essential for worm development. It is both expressed in the nucleus and secreted.

RESULTS

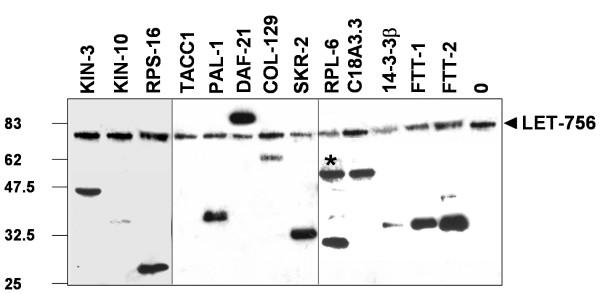
To identify nuclear factors associated with LET-756, we used three approaches. First, we screened a two-hybrid cDNA library derived from mixed stages worms and from a normalized library, using LET-756 as bait. This direct approach allowed the identification of several binding partners that play various roles in the nucleus/nucleolus, such as PAL-1, a transcription regulator, or RPS-16, a component of the small ribosomal subunit. The interactions were validated by co-immunoprecipitation and determination of their site of occurrence in mammalian cells. Second, because patterns of protein interactions may be conserved throughout species, we searched for orthologs of known mammalian interactors and measured binary interaction with these predicted candidates. We found KIN-3 and KIN-10, the orthologs of CK2alpha and CK2beta, as new partners of LET-756. Third, following the assumption that recognition motifs mediating protein interaction may be conserved between species, we screened a two-hybrid cDNA human library using LET-756 as bait. Among the few FGF partners detected was 14-3-3beta. In support of this interaction we showed that the two 14-3-3beta orthologous proteins, FTT-1 and FTT-2/PAR-5, interacted with LET-756.

CONCLUSION

We have conducted the first extensive search for LET-756 interactors using a multi-directional approach and established the first interaction map of LET-756/FGF with other FGF binding proteins from other species. The interactors identified play various roles in developmental process or basic biochemical events such as ribosome biogenesis.

摘要

背景

成纤维细胞生长因子(FGFs)是多功能蛋白,在细胞通讯、增殖和分化中发挥重要作用。然而,其活性的许多方面尚未得到很好的界定。LET-756是秀丽隐杆线虫两种FGF之一,在整个发育过程中表达,对蠕虫发育至关重要。它既在细胞核中表达,也会分泌。

结果

为了鉴定与LET-756相关的核因子,我们采用了三种方法。首先,我们以LET-756为诱饵,筛选了来自混合发育阶段蠕虫的双杂交cDNA文库和标准化文库。这种直接的方法使我们能够鉴定出几个在细胞核/核仁中发挥各种作用的结合伴侣,例如转录调节因子PAL-1或小核糖体亚基的组成部分RPS-16。通过共免疫沉淀以及确定它们在哺乳动物细胞中的发生位点来验证这些相互作用。其次,由于蛋白质相互作用模式可能在整个物种中保守,我们搜索了已知哺乳动物相互作用蛋白的直系同源物,并测量了与这些预测候选物的二元相互作用。我们发现CK2α和CK2β的直系同源物KIN-3和KIN-10是LET-756的新伴侣。第三,基于介导蛋白质相互作用的识别基序可能在物种间保守这一假设,我们以LET-756为诱饵筛选了双杂交人类cDNA文库。检测到的少数FGF伴侣中有14-3-3β。为支持这种相互作用,我们表明两种14-3-3β直系同源蛋白FTT-1和FTT-2/PAR-5与LET-756相互作用。

结论

我们首次使用多方向方法对LET-756相互作用蛋白进行了广泛搜索,并建立了LET-756/FGF与来自其他物种的其他FGF结合蛋白的首张相互作用图谱。鉴定出的相互作用蛋白在发育过程或核糖体生物发生等基本生化事件中发挥各种作用。

https://cdn.ncbi.nlm.nih.gov/pmc/blobs/1b73/1513213/ac98e6561798/1471-2164-7-105-1.jpg

文献AI研究员

20分钟写一篇综述,助力文献阅读效率提升50倍。

立即体验

用中文搜PubMed

大模型驱动的PubMed中文搜索引擎

马上搜索

文档翻译

学术文献翻译模型,支持多种主流文档格式。

立即体验