Suppr超能文献

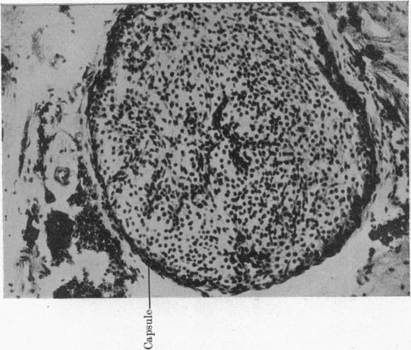
The Topography and Histology of the Parathyroid Glandules in Xenopus laevis.

作者信息

Shapiro B G

机构信息

Department of Physiology, University of Capetown.

出版信息

J Anat. 1933 Oct;68(Pt 1):39-44.

Abstract
摘要
https://cdn.ncbi.nlm.nih.gov/pmc/blobs/57f9/1249232/ee3f48695872/janat00542-0055-a.jpg

相似文献

3
Bleomycin-induced DNA damage and repair in Xenopus laevis and Xenopus tropicalis.
J Exp Zool A Ecol Genet Physiol. 2007 Feb 1;307(2):84-90. doi: 10.1002/jez.a.339.
4
Effect of atrazine on metamorphosis and sexual differentiation in Xenopus laevis.
Aquat Toxicol. 2008 May 30;87(4):215-26. doi: 10.1016/j.aquatox.2008.02.009. Epub 2008 Feb 23.
5
I. The Parathyroid Glandules. Their Blood Supply and their Preservation in Operation upon the Thyroid Gland.
Ann Surg. 1907 Oct;46(4):489-506. doi: 10.1097/00000658-190710000-00001.

引用本文的文献

1
Early development of the thymus in Xenopus laevis.
Dev Dyn. 2013 Feb;242(2):164-78. doi: 10.1002/dvdy.23905. Epub 2012 Dec 5.
2
Ultrastructural observations on the parathyroid glands of Xenopus laevis Daudin.
Z Zellforsch Mikrosk Anat. 1969;100(2):201-14. doi: 10.1007/BF00343880.

文献AI研究员

20分钟写一篇综述,助力文献阅读效率提升50倍。

立即体验

用中文搜PubMed

大模型驱动的PubMed中文搜索引擎

马上搜索

文档翻译

学术文献翻译模型,支持多种主流文档格式。

立即体验