Suppr超能文献

岩骨巨细胞瘤(破骨细胞瘤):病例报告

Giant cell tumor (osteoclastoma) of the petrous bone: case report.

作者信息

Spallone A, Flores G L, Zaldivar L O, Estupinan B

出版信息

Skull Base Surg. 1999;9(2):155-9. doi: 10.1055/s-2008-1058163.

Abstract

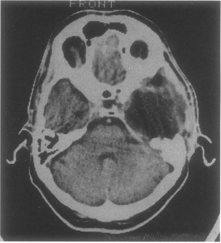
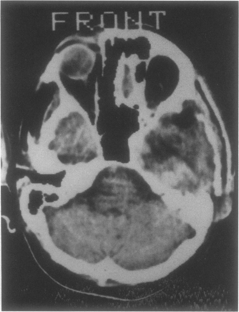
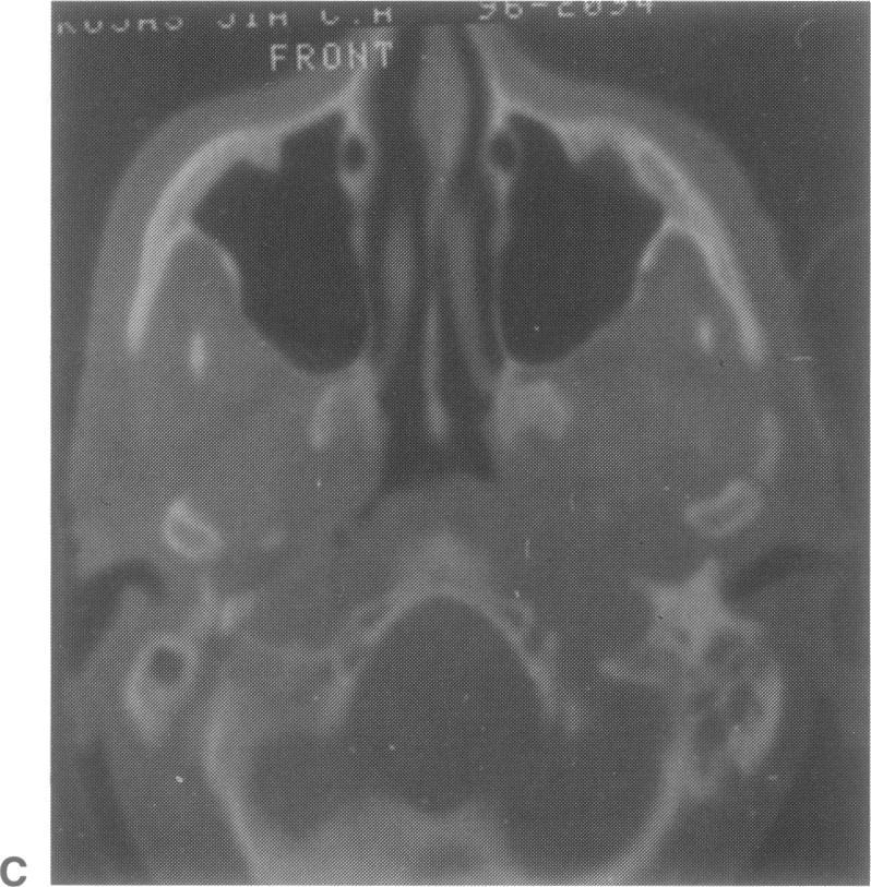
A case of a basal middle fossa giant cell tumor occurring in a 46-year-old man is described. The lesion appeared at the computed tomography (CT) scan examination as an hypodense mass with a peripheral "ring-like" enhancement, and no evident erosion of the skull base. The tumor, which infiltrated the basal temporal parenchyma, was removed via a temporal transzygomatic craniotomy, and extensive drilling of the petrous bone. Despite the occurrence, of significant postoperative complications, the patient ultimately showed a good clinical outcome, with no signs of recurrence at the 1-year follow-up CT scanning. The clinical and diageostic aspects and the management policy, of this rare lesion are discussed.

摘要

本文描述了一例发生在一名46岁男性的颅中窝底巨细胞瘤。在计算机断层扫描(CT)检查中,该病变表现为低密度肿块,周边有“环状”强化,且颅底无明显骨质侵蚀。肿瘤侵犯颞叶底部实质,通过颞部经颧弓开颅术及广泛磨除岩骨将其切除。尽管术后出现了严重并发症,但患者最终临床效果良好,术后1年的CT扫描未见复发迹象。本文还讨论了这种罕见病变的临床和诊断方面以及治疗策略。

https://cdn.ncbi.nlm.nih.gov/pmc/blobs/17f5/1656808/721a50d83a46/skullbasesurg00006-0079-a.jpg

文献AI研究员

20分钟写一篇综述,助力文献阅读效率提升50倍。

立即体验

用中文搜PubMed

大模型驱动的PubMed中文搜索引擎

马上搜索

文档翻译

学术文献翻译模型,支持多种主流文档格式。

立即体验