Suppr超能文献

在源自α-平滑肌肌动蛋白-Cre转基因小鼠的博来霉素诱导的肺纤维化模型气道中检测上皮-间质转化

Detection of epithelial to mesenchymal transition in airways of a bleomycin induced pulmonary fibrosis model derived from an alpha-smooth muscle actin-Cre transgenic mouse.

作者信息

Wu Zhuang, Yang Leilei, Cai Lin, Zhang Min, Cheng Xuan, Yang Xiao, Xu Jun

机构信息

Guangzhou Institute of Respiratory Disease, First Affiliated Hospital of Guangzhou Medical College, Guangzhou, 510120, PR China.

出版信息

Respir Res. 2007 Jan 7;8(1):1. doi: 10.1186/1465-9921-8-1.

Abstract

BACKGROUND

Epithelial to mesenchymal transition (EMT) in alveolar epithelial cells (AECs) has been widely observed in patients suffering interstitial pulmonary fibrosis. In vitro studies have also demonstrated that AECs could convert into myofibroblasts following exposure to TGF-beta1. In this study, we examined whether EMT occurs in bleomycin (BLM) induced pulmonary fibrosis, and the involvement of bronchial epithelial cells (BECs) in the EMT. Using an alpha-smooth muscle actin-Cre transgenic mouse (alpha-SMA-Cre/R26R) strain, we labelled myofibroblasts in vivo. We also performed a phenotypic analysis of human BEC lines during TGF-beta1 stimulation in vitro.

METHODS

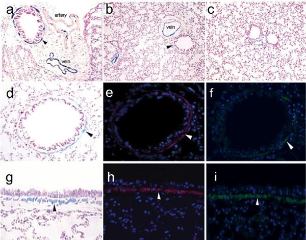
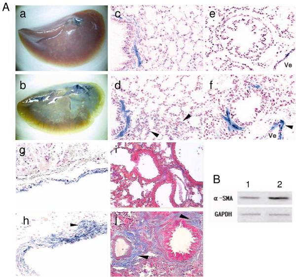
We generated the alpha-SMA-Cre mouse strain by pronuclear microinjection with a Cre recombinase cDNA driven by the mouse alpha-smooth muscle actin (alpha-SMA) promoter. alpha-SMA-Cre mice were crossed with the Cre-dependent LacZ expressing strain R26R to produce the double transgenic strain alpha-SMA-Cre/R26R. beta-galactosidase (betagal) staining, alpha-SMA and smooth muscle myosin heavy chains immunostaining were carried out simultaneously to confirm the specificity of expression of the transgenic reporter within smooth muscle cells (SMCs) under physiological conditions. BLM-induced peribronchial fibrosis in alpha-SMA-Cre/R26R mice was examined by pulmonary betagal staining and alpha-SMA immunofluorescence staining. To confirm in vivo observations of BECs undergoing EMT, we stimulated human BEC line 16HBE with TGF-beta1 and examined the localization of the myofibroblast markers alpha-SMA and F-actin, and the epithelial marker E-cadherin by immunofluorescence.

RESULTS

betagal staining in organs of healthy alpha-SMA-Cre/R26R mice corresponded with the distribution of SMCs, as confirmed by alpha-SMA and SM-MHC immunostaining. BLM-treated mice showed significantly enhanced betagal staining in subepithelial areas in bronchi, terminal bronchioles and walls of pulmonary vessels. Some AECs in certain peribronchial areas or even a small subset of BECs were also positively stained, as confirmed by alpha-SMA immunostaining. In vitro, addition of TGF-beta1 to 16HBE cells could also stimulate the expression of alpha-SMA and F-actin, while E-cadherin was decreased, consistent with an EMT.

CONCLUSION

We observed airway EMT in BLM-induced peribronchial fibrosis mice. BECs, like AECs, have the capacity to undergo EMT and to contribute to mesenchymal expansion in pulmonary fibrosis.

摘要

背景

在间质性肺纤维化患者中,肺泡上皮细胞(AECs)的上皮-间质转化(EMT)已被广泛观察到。体外研究也表明,AECs在暴露于转化生长因子-β1(TGF-β1)后可转化为肌成纤维细胞。在本研究中,我们检测了博来霉素(BLM)诱导的肺纤维化中是否发生EMT,以及支气管上皮细胞(BECs)在EMT中的作用。使用α-平滑肌肌动蛋白-Cre转基因小鼠(α-SMA-Cre/R26R)品系,我们在体内标记了肌成纤维细胞。我们还对体外TGF-β1刺激下的人BEC系进行了表型分析。

方法

我们通过原核显微注射法,用由小鼠α-平滑肌肌动蛋白(α-SMA)启动子驱动的Cre重组酶cDNA构建了α-SMA-Cre小鼠品系。将α-SMA-Cre小鼠与依赖Cre的表达LacZ的品系R26R杂交,产生双转基因品系α-SMA-Cre/R26R。同时进行β-半乳糖苷酶(β-gal)染色、α-SMA和平滑肌肌球蛋白重链免疫染色,以确认转基因报告基因在生理条件下在平滑肌细胞(SMCs)中的表达特异性。通过肺β-gal染色和α-SMA免疫荧光染色检查α-SMA-Cre/R26R小鼠中BLM诱导的支气管周围纤维化。为了证实体内观察到的BECs发生EMT,我们用TGF-β1刺激人BEC系16HBE,并通过免疫荧光检测肌成纤维细胞标志物α-SMA和F-肌动蛋白以及上皮标志物E-钙黏蛋白的定位。

结果

健康的α-SMA-Cre/R26R小鼠器官中的β-gal染色与SMCs的分布一致,α-SMA和SM-MHC免疫染色证实了这一点。BLM处理的小鼠在支气管、终末细支气管和肺血管壁的上皮下区域显示出明显增强的β-gal染色。某些支气管周围区域的一些AECs甚至一小部分BECs也呈阳性染色,α-SMA免疫染色证实了这一点。在体外,向16HBE细胞中添加TGF-β1也可刺激α-SMA和F-肌动蛋白的表达,而E-钙黏蛋白减少,这与EMT一致。

结论

我们在BLM诱导的支气管周围纤维化小鼠中观察到气道EMT。BECs与AECs一样,有能力发生EMT并促进肺纤维化中的间充质扩张。

https://cdn.ncbi.nlm.nih.gov/pmc/blobs/7550/1781437/16215efa7cc6/1465-9921-8-1-1.jpg

文献AI研究员

20分钟写一篇综述,助力文献阅读效率提升50倍。

立即体验

用中文搜PubMed

大模型驱动的PubMed中文搜索引擎

马上搜索

文档翻译

学术文献翻译模型,支持多种主流文档格式。

立即体验