Bundza A, Greig A S, Dukes T W
Can Vet J. 1984 Feb;25(2):82-5.
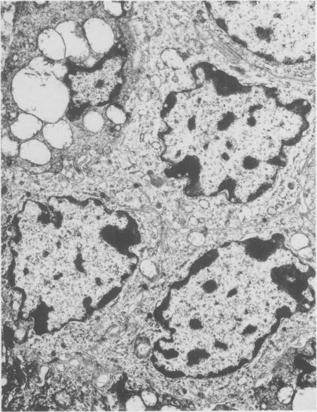
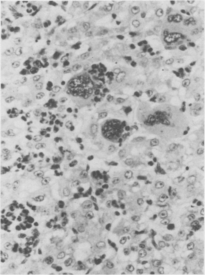
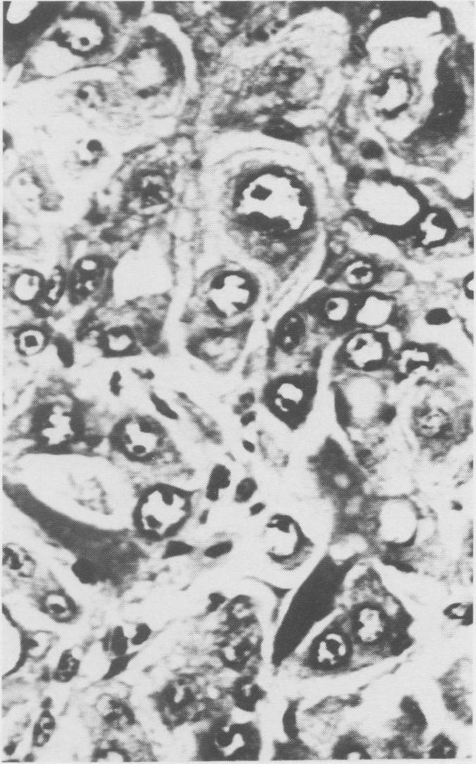
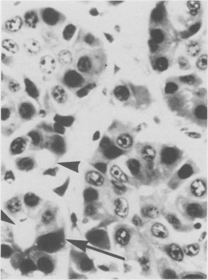
Eight bovine, two ovine and one porcine primary hepatocellular neoplasms were found during a five year survey of tumors from meat packing plants. The tumors varied in size and usually were yellow-grey. Some were encapsulated and divided into lobules by fibrous septa. The tumor cells closely resembled normal hepatocytes and were arranged in a trabecular pattern or in sheets with caverns or were a mixture of the two. Eosinophilic intranuclear inclusions were present in one bovine and one ovine case.