Nicholls John M, Bourne Anthony J, Chen Honglin, Guan Yi, Peiris J S Malik
Pathology Department, The University of Hong Kong, Pok Fu Lam, Hong Kong, Hong Kong SAR.
Respir Res. 2007 Oct 25;8(1):73. doi: 10.1186/1465-9921-8-73.
Influenza virus binds to cell receptors via sialic acid (SA) linked glycoproteins. They recognize SA on host cells through their haemagglutinins (H). The distribution of SA on cell surfaces is one determinant of host tropism and understanding its expression on human cells and tissues is important for understanding influenza pathogenesis. The objective of this study therefore was to optimize the detection of alpha2,3-linked and alpha2,6-linked SA by lectin histochemistry by investigating the binding of Sambucus nigra agglutinin (SNA) for SAalpha2,6Gal and Maackia amurensis agglutinin (MAA) for SAalpha2,3Gal in the respiratory tract of normal adults and children.
We used fluorescent and biotinylated SNA and MAA from different suppliers on archived and prospectively collected biopsy and autopsy specimens from the nasopharynx, trachea, bronchus and lungs of fetuses, infants and adults. We compared different methods of unmasking for tissue sections to determine if these would affect lectin binding. Using serial sections we then compared the lectin binding of MAA from different suppliers.
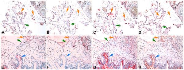
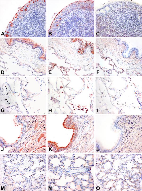
We found that unmasking using microwave treatment in citrate buffer produced increased lectin binding to the ciliated and glandular epithelium of the respiratory tract. In addition we found that there were differences in tissue distribution of the alpha2,3 linked SA when 2 different isoforms of MAA (MAA1 and MAA2) lectin were used. MAA1 had widespread binding throughout the upper and lower respiratory tract and showed more binding to the respiratory epithelium of children than in adults. By comparison, MAA2 binding was mainly restricted to the alveolar epithelial cells of the lung with weak binding to goblet cells. SNA binding was detected in bronchial and alveolar epithelial cells and binding of this lectin was stronger to the paediatric epithelium compared to adult epithelium. Furthermore, the MAA lectins from 2 suppliers (Roche and EY Labs) tended to only bind in a pattern similar to MAA1 (Vector Labs) and produced a different binding pattern to MAA2 from Vector Labs.
The lectin binding pattern of MAA may vary depending on the supplier and the different isoforms of MAA show a different tissue distribution in the respiratory tract. This finding is important if conclusions about the potential binding sites of SAalpha2,3 binding viruses, such as influenza or human parainfluenza are to be made.
流感病毒通过唾液酸(SA)连接的糖蛋白与细胞受体结合。它们通过血凝素(H)识别宿主细胞上的SA。SA在细胞表面的分布是宿主嗜性的一个决定因素,了解其在人类细胞和组织上的表达对于理解流感发病机制很重要。因此,本研究的目的是通过研究黑接骨木凝集素(SNA)对SAα2,6Gal的结合以及龙牙草凝集素(MAA)对SAα2,3Gal的结合,优化凝集素组织化学检测α2,3连接和α2,6连接的SA,研究对象为正常成人和儿童的呼吸道。
我们将来自不同供应商的荧光和生物素化的SNA和MAA应用于存档的以及前瞻性收集的胎儿、婴儿和成人鼻咽、气管、支气管和肺的活检及尸检标本。我们比较了组织切片的不同抗原修复方法,以确定这些方法是否会影响凝集素结合。然后,我们使用连续切片比较了不同供应商的MAA的凝集素结合情况。
我们发现,在柠檬酸盐缓冲液中使用微波处理进行抗原修复可增加凝集素与呼吸道纤毛和腺上皮的结合。此外,我们发现当使用两种不同亚型的MAA(MAA1和MAA2)凝集素时,α2,3连接的SA的组织分布存在差异。MAA1在上、下呼吸道均有广泛结合,且与儿童呼吸道上皮的结合比成人更多。相比之下,MAA2的结合主要局限于肺的肺泡上皮细胞,与杯状细胞的结合较弱。在支气管和肺泡上皮细胞中检测到SNA结合,与成人上皮相比,这种凝集素与儿童上皮的结合更强。此外,来自两家供应商(罗氏和EY实验室)的MAA凝集素倾向于仅以与MAA1(Vector实验室)相似的模式结合,并且与Vector实验室的MAA2产生不同的结合模式。
MAA的凝集素结合模式可能因供应商而异,并且不同亚型的MAA在呼吸道中显示出不同的组织分布。如果要得出关于SAα2,3结合病毒(如流感或人副流感病毒)潜在结合位点的结论,这一发现很重要。