Suppr超能文献

副纤维蛋白表达下调是胃癌发病机制、侵袭、转移及预后的一个有前景的标志物。

Downregulated parafibromin expression is a promising marker for pathogenesis, invasion, metastasis and prognosis of gastric carcinomas.

作者信息

Zheng Hua-Chuan, Takahashi Hiroyuki, Li Xiao-Han, Hara Takuo, Masuda Shinji, Guan Yi-Fu, Takano Yasuo

机构信息

Department of Biochemistry and Molecular Biology, College of Basic Medicine, China Medical University, Shenyang, China.

出版信息

Virchows Arch. 2008 Feb;452(2):147-55. doi: 10.1007/s00428-007-0551-z. Epub 2007 Dec 14.

Abstract

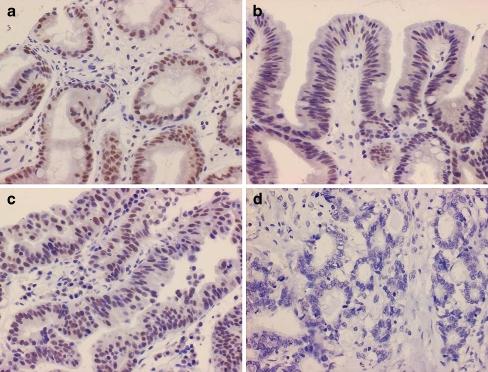
Parafibromin is a protein encoded by the hyperparathyroidism 2 oncosuppressor gene and its downregulated expression is involved in pathogenesis of parathyroid carcinomas. To clarify the roles of parafibromin expression in tumourigenesis and progression of gastric carcinomas, it was examined by immunohistochemistry (IHC) on tissue microarray containing gastric carcinomas (n = 508), adenomas (n = 45) and gastritis (n = 49) with a comparison of its expression with clinicopathological parametres of carcinomas. Gastric carcinoma cell lines (MKN28, AGS, MKN45, KATO-III and HGC-27) were studied for parafibromin expression by IHC and western blot. Parafibromin expression was localised in the nucleus of gastric epithelial cells, adenoma, carcinoma cells and cell lines. Its expression was gradually decreased from gastritis to gastric carcinoma, through gastric adenomas (p < 0.05) and inversely correlated with tumour size, depth of invasion, lymphatic invasion, lymph node metastasis and Union Internationale Contre le Cancer (UICC) staging (p < 0.05) but not with sex or venous invasion (p > 0.05). Parafibromin was strongly expressed in older carcinoma patients compared with younger ones (p < 0.05). There was stronger positivity of parafibromin in intestinal-type than diffuse-type carcinomas (p < 0.05). Univariate analysis indicated cumulative survival rate of patients with positive parafibromin expression to be higher than without its expression (p < 0.05). Multivariate analysis showed that age, tumour size, depth of invasion, lymphatic invasion, lymph node metastasis, UICC staging and Lauren's classification but not sex, venous invasion or parafibromin expression were independent prognostic factors for carcinomas(p < 0.05). Downregulated parafibromin expression possibly contributed to pathogenesis, growth, invasion and metastasis of gastric carcinomas. It was considered as a promising marker to indicate the aggressive behaviours and prognosis of gastric carcinomas.

摘要

副纤维蛋白是由甲状旁腺功能亢进2抑癌基因编码的一种蛋白质,其表达下调与甲状旁腺癌的发病机制有关。为阐明副纤维蛋白表达在胃癌发生和进展中的作用,采用免疫组织化学(IHC)方法对包含胃癌(n = 508)、腺瘤(n = 45)和胃炎(n = 49)的组织芯片进行检测,并将其表达与癌的临床病理参数进行比较。通过IHC和蛋白质印迹法研究胃癌细胞系(MKN28、AGS、MKN45、KATO-III和HGC-27)中副纤维蛋白的表达。副纤维蛋白表达定位于胃上皮细胞、腺瘤、癌细胞和细胞系的细胞核中。其表达从胃炎到胃癌,经胃腺瘤逐渐降低(p < 0.05),且与肿瘤大小、浸润深度、淋巴管浸润、淋巴结转移和国际抗癌联盟(UICC)分期呈负相关(p < 0.05),但与性别或静脉浸润无关(p > 0.05)。与年轻患者相比,副纤维蛋白在老年癌患者中表达较强(p < 0.05)。副纤维蛋白在肠型癌中的阳性率高于弥漫型癌(p < 0.05)。单因素分析表明,副纤维蛋白表达阳性患者的累积生存率高于无表达患者(p < 0.05)。多因素分析显示,年龄、肿瘤大小、浸润深度、淋巴管浸润、淋巴结转移、UICC分期和劳伦分类是癌的独立预后因素,而性别、静脉浸润或副纤维蛋白表达不是(p < 0.05)。副纤维蛋白表达下调可能有助于胃癌的发病机制、生长、浸润和转移。它被认为是一种有前景的标志物,可指示胃癌的侵袭行为和预后。

https://cdn.ncbi.nlm.nih.gov/pmc/blobs/3568/2233709/a26c8daa1e91/428_2007_551_Fig1_HTML.jpg

文献AI研究员

20分钟写一篇综述,助力文献阅读效率提升50倍。

立即体验

用中文搜PubMed

大模型驱动的PubMed中文搜索引擎

马上搜索

文档翻译

学术文献翻译模型,支持多种主流文档格式。

立即体验