Department of Parasitology and Medical Mycology, Lyon University, Lyon, France.
PLoS Negl Trop Dis. 2008 Jan 16;2(1):e125. doi: 10.1371/journal.pntd.0000125.
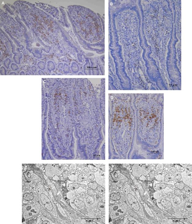
Dogs are the main source of human cystic echinococcosis. An oral vaccine would be an important contribution to control programs in endemic countries. We conducted two parallel experimental trials in Morocco and Tunisia of a new oral vaccine candidate against Echinococcus granulosus in 28 dogs. The vaccine was prepared using two recombinant proteins from adult worms, a tropomyosin (EgTrp) and a fibrillar protein similar to paramyosin (EgA31), cloned and expressed in a live attenuated strain of Salmonella enterica serovar typhimurium.In each country, five dogs were vaccinated with the associated EgA31 and EgTrp; three dogs received only the vector Salmonella; and six dogs were used as different controls. The vaccinated dogs received two oral doses of the vaccine 21 d apart, and were challenged 20 d later with 75,000 living protoscoleces. The controls were challenged under the same conditions. All dogs were sacrificed 26-29 d postchallenge, before the appearance of eggs, for safety reasons.We studied the histological responses to both the vaccine and control at the level of the duodenum, the natural localization of the cestode. Here we show a significant decrease of parasite burden in vaccinated dogs (70% to 80%) and a slower development rate in all remaining worms. The Salmonella vaccine EgA31-EgTrp demonstrated a high efficacy against E. granulosus promoting its potential role in reducing transmission to humans and animals.
狗是人类包虫病的主要传染源。口服疫苗将是控制流行国家疾病规划的重要贡献。我们在摩洛哥和突尼斯进行了两项平行的实验性试验,评估一种针对细粒棘球绦虫的新型口服候选疫苗在 28 只狗中的效果。该疫苗使用来自成虫的两种重组蛋白制备,一种是原肌球蛋白(EgTrp),另一种是类似于副肌球蛋白的纤维状蛋白(EgA31),它们在减毒鼠伤寒沙门氏菌活菌株中克隆和表达。在每个国家,5 只狗接种了相关的 EgA31 和 EgTrp;3 只狗仅接受载体沙门氏菌;6 只狗作为不同的对照组。接种疫苗的狗接受了两次口服剂量的疫苗,间隔 21 天,然后在 20 天后用 75000 个活的原头节进行挑战。对照组在相同条件下进行挑战。出于安全原因,所有狗在出现虫卵之前,即挑战后 26-29 天被安乐死。我们研究了疫苗和对照组在十二指肠(绦虫的天然定位)水平的组织学反应。在这里,我们发现接种疫苗的狗的寄生虫负荷显著降低(70%至 80%),并且所有剩余的蠕虫发育速度较慢。沙门氏菌疫苗 EgA31-EgTrp 对细粒棘球绦虫表现出高疗效,这表明其在减少对人类和动物的传播方面具有潜在作用。