Suppr超能文献

二尖瓣置换术后瓣环下左心室假性动脉瘤

Subannular left ventricular pseudoaneurysm following mitral valve replacement.

作者信息

Namboodiri Narayanan, Dora Santosh K, Thomas Bejoy, Misra Manoranjan

机构信息

Department of Cardiology, Sree Chitra Tirunal Institute for Medical Sciences and Technology, Thiruvananthapuram, India.

出版信息

J Cardiothorac Surg. 2008 May 19;3:28. doi: 10.1186/1749-8090-3-28.

Abstract

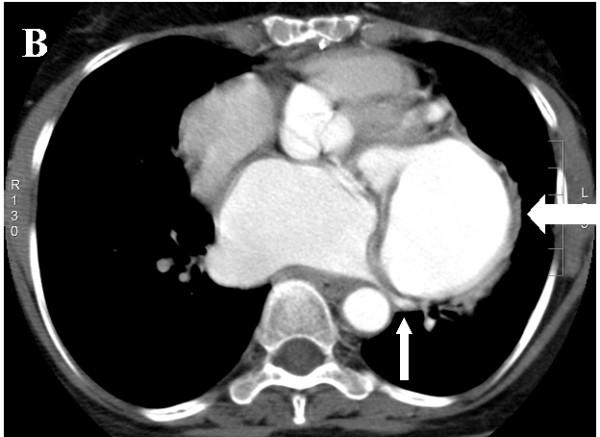
Delayed development of left ventricular pseudoaneurysm is a rare late complication of mitral valve prosthesis and requires early surgical intervention. Here we describe the occurrence of such a complication diagnosed 6-months after the valve surgery in a 60-year-old lady. The anatomic delineation of subannular left ventricular pseudoaneurysm using multiple imaging modalities including CT angiography is also being discussed.

摘要

左心室假性动脉瘤的延迟发生是二尖瓣人工瓣膜罕见的晚期并发症,需要早期手术干预。在此,我们描述了一名60岁女性在瓣膜手术后6个月诊断出的这种并发症的发生情况。同时也讨论了使用包括CT血管造影在内的多种成像方式对瓣环下左心室假性动脉瘤进行解剖学描绘。

https://cdn.ncbi.nlm.nih.gov/pmc/blobs/5d02/2424049/81c6a453f7b1/1749-8090-3-28-1.jpg

文献检索

告别复杂PubMed语法,用中文像聊天一样搜索,搜遍4000万医学文献。AI智能推荐,让科研检索更轻松。

立即免费搜索

文件翻译

保留排版,准确专业,支持PDF/Word/PPT等文件格式,支持 12+语言互译。

免费翻译文档

深度研究

AI帮你快速写综述,25分钟生成高质量综述,智能提取关键信息,辅助科研写作。

立即免费体验