Suppr超能文献

In-toto removal of a subretinal Cysticercus cellulosae by pars plana vitrectomy.

作者信息

Luger M H, Stilma J S, Ringens P J, van Baarlen J

机构信息

F C Donders Institute of Ophthalmology, Utrecht University Hospital, The Netherlands.

出版信息

Br J Ophthalmol. 1991 Sep;75(9):561-3. doi: 10.1136/bjo.75.9.561.

Abstract

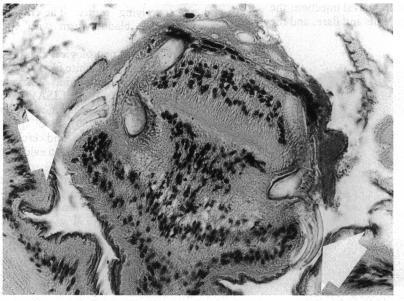
A case of subretinal cysticercosis was treated with laser coagulations round the cyst prior to surgery. In-toto removal of the living cysticercus was performed by pars plana vitrectomy. Two weeks after surgery 25/20 vision was regained. Histopathology of the cyst confirmed the clinical diagnosis.

摘要
https://cdn.ncbi.nlm.nih.gov/pmc/blobs/6859/1042475/a8e6b1751050/brjopthal00571-0050-a.jpg

文献AI研究员

20分钟写一篇综述,助力文献阅读效率提升50倍。

立即体验

用中文搜PubMed

大模型驱动的PubMed中文搜索引擎

马上搜索

文档翻译

学术文献翻译模型,支持多种主流文档格式。

立即体验