Suppr超能文献

口服磷脂酰胆碱预处理可减轻实验性类风湿性关节炎的症状。

Oral phosphatidylcholine pretreatment alleviates the signs of experimental rheumatoid arthritis.

作者信息

Eros Gabor, Ibrahim Saleh, Siebert Nikolai, Boros Mihály, Vollmar Brigitte

机构信息

Institute for Experimental Surgery, University of Rostock, Rostock, Germany.

出版信息

Arthritis Res Ther. 2009;11(2):R43. doi: 10.1186/ar2651. Epub 2009 Mar 18.

Abstract

INTRODUCTION

Phosphatidylcholine and phosphatidylcholine-derived metabolites exhibit anti-inflammatory properties in various stress conditions. We hypothesized that dietary phosphatidylcholine may potentially function as an anti-inflammatory substance and may decrease inflammatory activation in a chronic murine model of rheumatoid arthritis (collagen-induced arthritis).

METHODS

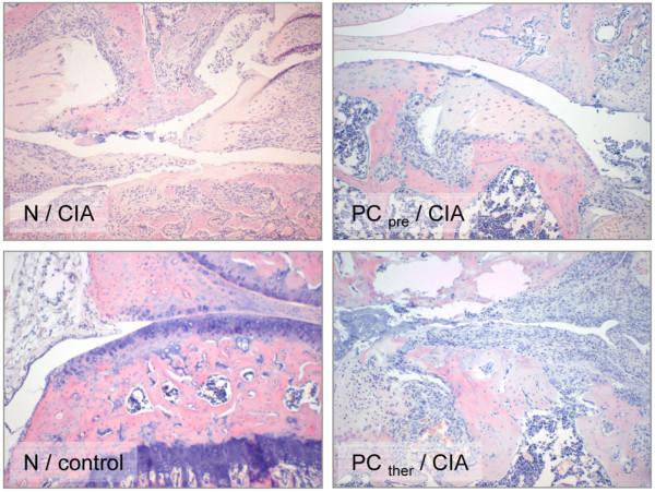
The experiments were performed on male DBA1/J mice. In groups 1 to 3 (n = 10 each), collagen-induced arthritis was induced by administration of bovine collagen II. In group 2 the animals were fed ad libitum with phosphatidylcholine-enriched diet as a pretreatment, while the animals of group 3 received this nourishment as a therapy, after the onset of the disease. The severity of the disease and inflammation-linked hyperalgesia were evaluated with semiquantitative scoring systems, while the venular leukocyte-endothelial cell interactions and functional capillary density were assessed by means of in vivo fluorescence microscopy of the synovial tissue. Additionally, the mRNA expressions of cannabinoid receptors 1 and 2, TNFalpha and endothelial and inducible nitric oxide synthase were determined, and classical histological analysis was performed.

RESULTS

Phosphatidylcholine pretreatment reduced the collagen-induced arthritis-induced hypersensitivity, and decreased the number of leukocyte-endothelial cell interactions and the extent of functional capillary density as compared with those of group 1. It also ameliorated the tissue damage and decreased inducible nitric oxide synthase expression. The expressions of the cannabinoid receptors and TNFalpha were not influenced by the phosphatidylcholine intake. Phosphatidylcholine-enriched food administrated as therapy failed to evoke the aforementioned changes, apart from the reduction of the inducible nitric oxide synthase expression.

CONCLUSIONS

Phosphatidylcholine-enriched food as pretreatment, but not as therapy, appears to exert beneficial effects on the morphological, functional and microcirculatory characteristics of chronic arthritis. We propose that oral phosphatidylcholine may be a preventive approach in ameliorating experimental rheumatoid arthritis-induced joint damage.

摘要

引言

磷脂酰胆碱及其衍生代谢产物在各种应激条件下均表现出抗炎特性。我们推测,膳食中的磷脂酰胆碱可能具有抗炎作用,并可能降低类风湿性关节炎(胶原诱导性关节炎)慢性小鼠模型中的炎症激活。

方法

实验选用雄性DBA1/J小鼠。第1至3组(每组n = 10)通过给予牛II型胶原诱导胶原诱导性关节炎。第2组动物在诱导前随意喂食富含磷脂酰胆碱的饮食作为预处理,而第3组动物在疾病发作后接受这种营养物质作为治疗。使用半定量评分系统评估疾病严重程度和炎症相关的痛觉过敏,同时通过滑膜组织的体内荧光显微镜评估小静脉白细胞-内皮细胞相互作用和功能性毛细血管密度。此外,测定大麻素受体1和2、肿瘤坏死因子α以及内皮型和诱导型一氧化氮合酶的mRNA表达,并进行经典组织学分析。

结果

与第1组相比,磷脂酰胆碱预处理降低了胶原诱导性关节炎引起的超敏反应,减少了白细胞-内皮细胞相互作用的数量和功能性毛细血管密度的程度。它还改善了组织损伤并降低了诱导型一氧化氮合酶的表达。大麻素受体和肿瘤坏死因子α的表达不受磷脂酰胆碱摄入的影响。作为治疗给予的富含磷脂酰胆碱的食物除了降低诱导型一氧化氮合酶的表达外,未能引起上述变化。

结论

富含磷脂酰胆碱的食物作为预处理而非治疗,似乎对慢性关节炎的形态、功能和微循环特征具有有益作用。我们认为口服磷脂酰胆碱可能是改善实验性类风湿性关节炎引起的关节损伤的一种预防方法。

https://cdn.ncbi.nlm.nih.gov/pmc/blobs/f8fa/2688190/2090ce71d81f/ar2651-1.jpg

文献AI研究员

20分钟写一篇综述,助力文献阅读效率提升50倍。

立即体验

用中文搜PubMed

大模型驱动的PubMed中文搜索引擎

马上搜索

文档翻译

学术文献翻译模型,支持多种主流文档格式。

立即体验