Suppr超能文献

细胞质中的Prep1与4EHP相互作用,抑制Hoxb4的翻译。

Cytoplasmic Prep1 interacts with 4EHP inhibiting Hoxb4 translation.

作者信息

Villaescusa J Carlos, Buratti Claudia, Penkov Dmitry, Mathiasen Lisa, Planagumà Jesús, Ferretti Elisabetta, Blasi Francesco

机构信息

IFOM, FIRC Institute of Molecular Oncology, Milano, Italy.

出版信息

PLoS One. 2009;4(4):e5213. doi: 10.1371/journal.pone.0005213. Epub 2009 Apr 13.

Abstract

BACKGROUND

Homeobox genes are essential for embryonic patterning and cell fate determination. They are regulated mostly at the transcriptional level. In particular, Prep1 regulates Hox transcription in association with Pbx proteins. Despite its nuclear role as a transcription factor, Prep1 is located in the cytosol of mouse oocytes from primary to antral follicles. The homeodomain factor Bicoid (Bcd) has been shown to interact with 4EHP (eukaryotic translation initiation factor 4E homolog protein) to repress translation of Caudal mRNA and to drive Drosophila embryo development. Interestingly, Prep1 contains a putative binding motif for 4EHP, which may reflect a novel unknown function.

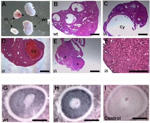
METHODOLOGY/PRINCIPAL FINDINGS: In this paper we show by confocal microscopy and deconvolution analysis that Prep1 and 4EHP co-localize in the cytosol of growing mouse oocytes, demonstrating their interaction by co-immunoprecipitation and pull-down experiments. A functional 4EHP-binding motif present in Prep1 has been also identified by mutagenesis analysis. Moreover, Prep1 inhibits (>95%) the in vitro translation of a luciferase reporter mRNA fused to the Hoxb4 3'UTR, in the presence of 4EHP. RNA electrophoretic mobility shift assay was used to demonstrate that Prep1 binds the Hoxb4 3'UTR. Furthermore, conventional histology and immunohistochemistry has shown a dramatic oocyte growth failure in hypomorphic mouse Prep1(i/i) females, accompanied by an increased production of Hoxb4. Finally, Hoxb4 overexpression in mouse zygotes showed a slow in vitro development effect.

CONCLUSIONS

Prep1 has a novel cytoplasmic, 4EHP-dependent, function in the regulation of translation. Mechanistically, the Prep1-4EHP interaction might bridge the 3'UTR of Hoxb4 mRNA to the 5' cap structure. This is the first demonstration that a mammalian homeodomain transcription factor regulates translation, and that this function can be possibly essential for the development of female germ cells and involved in mammalian zygote development.

摘要

背景

同源异型盒基因对于胚胎模式形成和细胞命运决定至关重要。它们大多在转录水平受到调控。特别是,Prep1与Pbx蛋白共同调节Hox转录。尽管Prep1作为转录因子发挥核内作用,但在从小卵泡到窦状卵泡的小鼠卵母细胞中,它却位于细胞质中。同源异型结构域因子双尾(Bcd)已被证明与真核翻译起始因子4E同源蛋白(4EHP)相互作用,以抑制尾端mRNA的翻译并驱动果蝇胚胎发育。有趣的是,Prep1含有一个假定的4EHP结合基序,这可能反映了一种新的未知功能。

方法/主要发现:在本文中,我们通过共聚焦显微镜和去卷积分析表明,Prep1和4EHP在生长中的小鼠卵母细胞的细胞质中共定位,通过免疫共沉淀和下拉实验证明了它们的相互作用。通过诱变分析还鉴定出Prep1中存在的功能性4EHP结合基序。此外,在有4EHP存在的情况下,Prep1抑制(>95%)与Hoxb4 3'非翻译区(UTR)融合的荧光素酶报告基因mRNA的体外翻译。RNA电泳迁移率变动分析用于证明Prep1与Hoxb4 3'UTR结合。此外,传统组织学和免疫组织化学显示,低表达小鼠Prep1(i/i)雌性的卵母细胞生长严重失败,同时Hoxb4产生增加。最后,小鼠受精卵中Hoxb4的过表达显示出体外发育缓慢的效应。

结论

Prep1在翻译调控中具有一种新的细胞质、4EHP依赖性功能。从机制上讲,Prep1 - 4EHP相互作用可能将Hoxb4 mRNA的3'UTR与5'帽结构连接起来。这是首次证明哺乳动物同源异型结构域转录因子调节翻译,并且该功能可能对雌性生殖细胞发育至关重要,并参与哺乳动物受精卵发育。

https://cdn.ncbi.nlm.nih.gov/pmc/blobs/8069/2664923/002788583edc/pone.0005213.g001.jpg

文献AI研究员

20分钟写一篇综述,助力文献阅读效率提升50倍。

立即体验

用中文搜PubMed

大模型驱动的PubMed中文搜索引擎

马上搜索

文档翻译

学术文献翻译模型,支持多种主流文档格式。

立即体验