Suppr超能文献

头颈部癌症的动物模型。

Animal models of cancer in the head and neck region.

机构信息

Department of Otolaryngology, School of Medicine, University of Pittsburgh, USA.

出版信息

Clin Exp Otorhinolaryngol. 2009 Jun;2(2):55-60. doi: 10.3342/ceo.2009.2.2.55. Epub 2009 Jun 27.

Abstract

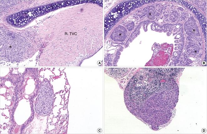
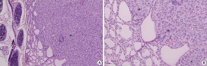
Animal models that resemble the cancers of the head and neck region are of paramount importance in studying the carcinogenesis of these diseases. Although several methods for modeling cancer in the head and neck are available, none are fully satisfactory. Subcutaneous xenograft models of cancer in nude mice are often used in preclinical studies. However, these models are problematic in several aspects as they lack the specific interactions that exist between the tumor cells and their native environment. Establishment of tumors at the orthotopic sites restore these distinct patterns of interactions between the tumor and the host organs that are lost or altered when the tumors are established in ectopic sites. With regard to the transgenic model of cancer in the head and neck region, it should be kept in mind that the transgene used to drive the malignant transformation may not be representative of the carcinogenic process found in human tumors. Low penetrance of tumor formation also translates into high cost and time commitment in performing studies with transgenic models. In this review, we will discuss some of the commonly used methods for modeling cancer in the head and neck region including squamous cell carcinoma of the head and neck as well as thyroid carcinoma.

摘要

在研究头颈部癌症的发生机制方面,模拟头颈部癌症的动物模型至关重要。尽管有几种方法可用于对头颈部癌症进行建模,但没有一种方法是完全令人满意的。裸鼠皮下异种移植癌症模型常用于临床前研究。然而,这些模型在几个方面存在问题,因为它们缺乏肿瘤细胞与其天然环境之间存在的特定相互作用。在原位建立肿瘤可以恢复肿瘤与宿主器官之间的这些独特的相互作用模式,而当肿瘤在异位建立时,这些相互作用模式会丢失或改变。关于头颈部癌症的转基因模型,应该记住,用于驱动恶性转化的转基因可能不能代表在人类肿瘤中发现的致癌过程。肿瘤形成的低穿透率也意味着在使用转基因模型进行研究时需要投入大量的时间和资金。在这篇综述中,我们将讨论一些常用于头颈部癌症建模的方法,包括头颈部鳞状细胞癌和甲状腺癌。

https://cdn.ncbi.nlm.nih.gov/pmc/blobs/5afc/2702728/ef259efca0ab/ceo-2-55-g001.jpg

文献AI研究员

20分钟写一篇综述,助力文献阅读效率提升50倍。

立即体验

用中文搜PubMed

大模型驱动的PubMed中文搜索引擎

马上搜索

文档翻译

学术文献翻译模型,支持多种主流文档格式。

立即体验