Suppr超能文献

软骨瘤与 Camurati-Engelmann 病之间的不寻常关联:病例报告。

Unusual association between enchondroma and Camurati-Engelmann disease: a case report.

机构信息

Department of Orthopedic Surgery, Akita University Graduate School of Medicine, 1-1-1 Hondo, Akita, Japan.

出版信息

Ups J Med Sci. 2010 May;115(2):157-60. doi: 10.3109/03009730903406777.

Abstract

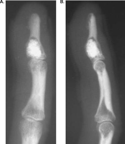
This case report describes an enchondroma of the distal phalanx of the right little finger in a 37-year-old woman with Camurati-Engelmann disease. Curettage of the tumor and artificial bone grafting were performed in May 2004. Surgical treatment resulted in a good clinical outcome with no evidence of recurrence at 5-year follow-up. The genetic relationships between Camurati-Engelmann disease and benign chondroid tumors are discussed.

摘要

本病例报告描述了一名 37 岁女性的右手小指末节内生软骨瘤,该女性患有 Camurati-Engelmann 病。2004 年 5 月,对肿瘤进行了刮除和人工骨移植。手术治疗后,患者临床疗效良好,5 年随访未见复发。讨论了 Camurati-Engelmann 病与良性软骨样肿瘤之间的遗传关系。

https://cdn.ncbi.nlm.nih.gov/pmc/blobs/3037/2853795/657a19714223/UPS-0300-9734-115-157-g001.jpg

文献AI研究员

20分钟写一篇综述,助力文献阅读效率提升50倍。

立即体验

用中文搜PubMed

大模型驱动的PubMed中文搜索引擎

马上搜索

文档翻译

学术文献翻译模型,支持多种主流文档格式。

立即体验