Suppr超能文献

因诱导治疗缩短导致的Goodpasture病患者的脑部受累:一例报告

Cerebral involvement in a patient with Goodpasture's disease due to shortened induction therapy: a case report.

作者信息

Preul Christoph, Gerth Jens, Lang Sebastian, Bergmeier Christoph, Witte Otto W, Wolf Gunter, Terborg Christoph

机构信息

Department of Neurology, University Hospital of Friedrich-Schiller University, 07740 Jena, Germany.

出版信息

J Med Case Rep. 2009 Nov 12;3:120. doi: 10.1186/1752-1947-3-120.

Abstract

INTRODUCTION

Goodpasture's disease is a rare immunological disease with formation of pathognomonic antibodies against renal and pulmonary basement membranes. Cerebral involvement has been reported in several cases in the literature, yet the pathogenetic mechanism is not entirely clear.

CASE PRESENTATION

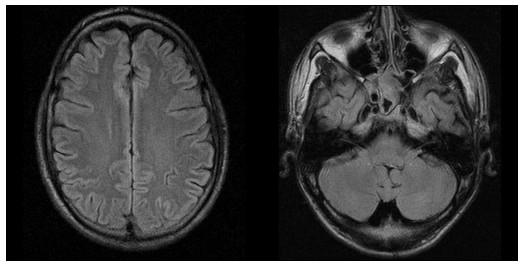
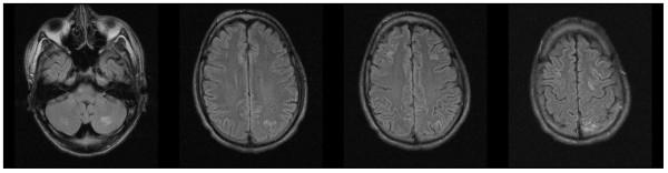
A 21-year-old Caucasian man with Goodpasture's disease and end-stage renal disease presented with two generalized seizures after a period of mild cognitive disturbance. Blood pressure and routine laboratory tests did not exceed the patient's usual values, and examination of cerebrospinal fluid was unremarkable. Cerebral magnetic resonance imaging (MRI) revealed multiple cortical and subcortical lesions on fluid-attenuated inversion recovery sequences. Since antiglomerular basement membrane antibodies were found to be positive with high titers, plasmapheresis was started. In addition, cyclophosphamide pulse therapy was given on day 13. Encephalopathy and MRI lesions disappeared during this therapy, and antiglomerular basement membrane antibodies were significantly reduced. Previous immunosuppressive therapy was performed without corticosteroids and terminated early after 3 months. The differential diagnostic considerations were cerebral vasculitis and posterior reversible encephalopathy syndrome. Vasculitis could be seen as an extrarenal manifestation of the underlying disease. Posterior reversible encephalopathy syndrome, on the other hand, can be triggered by immunosuppressive therapy and may appear without a hypertensive crisis.

CONCLUSION

A combination of central nervous system symptoms with a positive antiglomerular basement membrane test in a patient with Goodpasture's disease should immediately be treated as an acute exacerbation of the disease with likely cross-reactivity of antibodies with the choroid plexus. In our patient, a discontinuous strategy of immunosuppressive therapy may have favored recurrence of Goodpasture's disease.

摘要

引言

古德帕斯丘病是一种罕见的免疫性疾病,可形成针对肾和肺基底膜的特征性抗体。文献中已有数例关于脑部受累的报道,但其发病机制尚不完全清楚。

病例介绍

一名21岁患有古德帕斯丘病和终末期肾病的白种男性,在经历一段轻度认知障碍后出现两次全身性癫痫发作。血压和常规实验室检查未超过患者的通常值,脑脊液检查无异常。脑部磁共振成像(MRI)在液体衰减反转恢复序列上显示多个皮质和皮质下病变。由于发现抗肾小球基底膜抗体高滴度阳性,遂开始进行血浆置换。此外,在第13天给予环磷酰胺脉冲治疗。在此治疗期间,脑病和MRI病变消失,抗肾小球基底膜抗体显著降低。先前的免疫抑制治疗未使用皮质类固醇,3个月后提前终止。鉴别诊断考虑为脑血管炎和后部可逆性脑病综合征。血管炎可视为潜在疾病的肾外表现。另一方面,后部可逆性脑病综合征可由免疫抑制治疗引发,且可能在无高血压危象的情况下出现。

结论

古德帕斯丘病患者出现中枢神经系统症状且抗肾小球基底膜试验阳性,应立即视为该疾病的急性加重,抗体可能与脉络丛发生交叉反应。在我们的患者中,免疫抑制治疗的间断策略可能助长了古德帕斯丘病的复发。

https://cdn.ncbi.nlm.nih.gov/pmc/blobs/d29e/2783061/68fed7688bbb/1752-1947-3-120-1.jpg

文献AI研究员

20分钟写一篇综述,助力文献阅读效率提升50倍。

立即体验

用中文搜PubMed

大模型驱动的PubMed中文搜索引擎

马上搜索

文档翻译

学术文献翻译模型,支持多种主流文档格式。

立即体验