Suppr超能文献

Primary mucinous cystadenocarcinoma of renal pelvis: a case report.

作者信息

Fareghi Mehdi, Mohammadi Afshin, Madaen Kazem

机构信息

Urology Department, Imam Reza University Hospital, Tabriz University of Medical Sciences, Tabriz, Iran.

出版信息

Cases J. 2009 Dec 23;2:9395. doi: 10.1186/1757-1626-2-9395.

Abstract

BACKGROUND

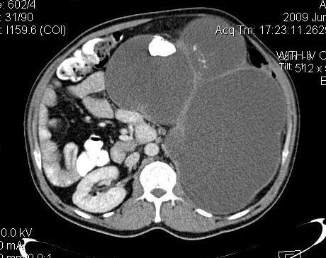
We report a case of primary mucinous cystadenocarcinoma of renal pelvis which radiologically resembled large multicystic mass in 45 years old man.

CASE PRESENTATION

The patient referred to our center with loin pain and progressive abdominal distention from 4 years ago. In the previous published literature, four cases of mucinous cystadenocarcinoma of renal origin have been published. Abdominal CT showed complete replacement of left kidney by a large multiloculated cystic mass accompanied with multiple large nephrolithiasis. Nephrectomy was performed and histopathology revealed covering of epithelium of renal pelvis by columnar epithelium and scattered goblet cells and mucous gland.

CONCLUSION

Mucinous cystic neoplasms of kidney are rare entity and our case and few similar reported cases showed that this tumor is an unique clinicopathologic renal mass that may be classified by World Health Organization classification in the future.

摘要
https://cdn.ncbi.nlm.nih.gov/pmc/blobs/0de0/2804024/76404779af71/1757-1626-2-9395-1.jpg

文献AI研究员

20分钟写一篇综述,助力文献阅读效率提升50倍。

立即体验

用中文搜PubMed

大模型驱动的PubMed中文搜索引擎

马上搜索

文档翻译

学术文献翻译模型,支持多种主流文档格式。

立即体验