Suppr超能文献

胸腺素 β4 在正常皮肤、结肠黏膜和肿瘤浸润肥大细胞中的表达。

Thymosin beta 4 expression in normal skin, colon mucosa and in tumor infiltrating mast cells.

机构信息

Dipartimento di Citomorfologia, Sez. di Anatomia Patologica, Università di Cagliari, Cagliari, Italy.

出版信息

Eur J Histochem. 2010 Feb 16;54(1):e3. doi: 10.4081/ejh.2010.e3.

Abstract

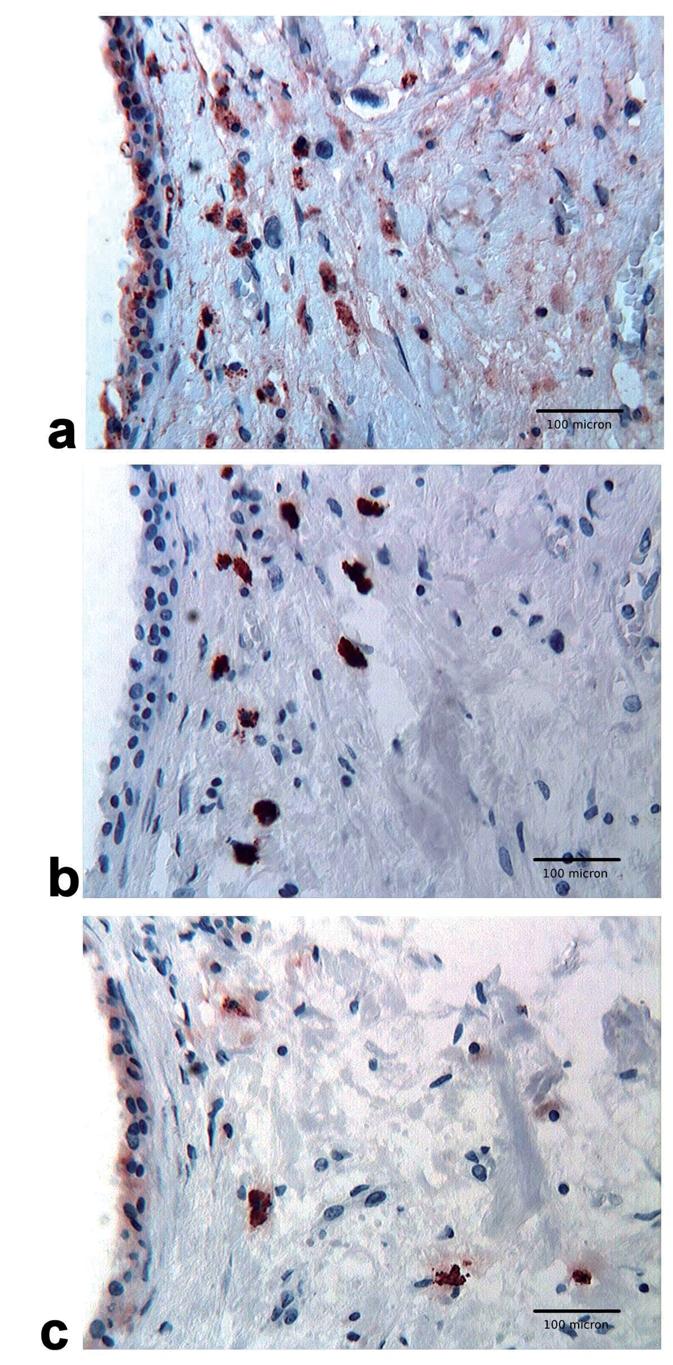
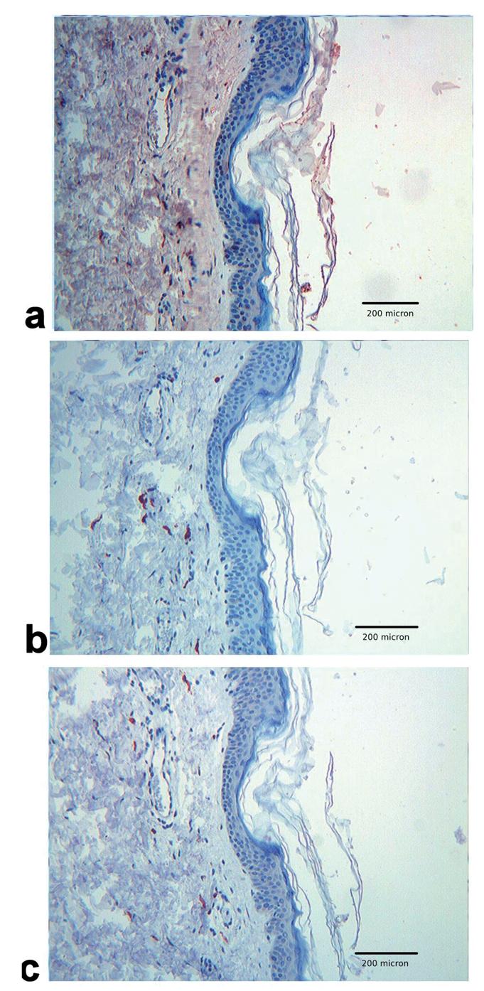
Mast cells (MCs) are metachromatic cells that originate from multipotential hemopoietic stem cells in the bone marrow. Two distinct populations of MCs have been characterized: mucosal MCs are tryptase-positive while mast cells in skin contain tryptase and chymase. We now show that a sub-population of MCs is highly immunoreactive for thymosin beta4, as revealed by immunohistochemical analyses of normal skin, normal colon mucosa and salivary gland tumors. Four consecutive serial sections from each case were immunostained for thymosin beta4 (Tbeta4), chymase, tryptase and stained for toluidine blue. In skin biopsies, MCs showed a comparable immunoreactivity for Tbeta4, chymase and tryptase. In normal colon mucosa the vast majority of mucosal MCs expressed a strong cytoplasmic immunoreactivity for tryptase and for Tbeta4, in the absence of chymase reactivity. A robust expression of Tbeta4 was detected in tumor-infiltrating and peritumoral mast cells in salivary gland tumors and breast ductal infiltrating carcinomas. Tumor-infiltrating MCs also showed a strong immunoreactivity for chymase and tryptase. In this paper, we first demonstrate that normal dermal and mucosal mast cells exhibit strong expression of thymosin beta4, which could be considered a new marker for the identification of mast cells in skin biopsies as well as in human tumors. The possible relationship between the degree of Tbeta4 expression in tumor-infiltrating mast cells and tumor behaviour warrants further consideration in future investigations.

摘要

肥大细胞(MCs)是起源于骨髓中多能造血干细胞的异染细胞。已经鉴定出两种不同的 MC 群体:黏膜 MCs 呈类胰蛋白酶阳性,而皮肤中的肥大细胞含有类胰蛋白酶和糜蛋白酶。我们现在表明,一种 MC 的亚群对胸腺素β4 具有高度免疫反应性,这是通过对正常皮肤、正常结肠黏膜和唾液腺肿瘤的免疫组织化学分析揭示的。每个病例的连续四个切片均用胸腺素β4(Tβ4)、糜蛋白酶、类胰蛋白酶进行免疫染色,并进行甲苯胺蓝染色。在皮肤活检中,MCs 对 Tβ4、糜蛋白酶和类胰蛋白酶的免疫反应性相当。在正常结肠黏膜中,绝大多数黏膜 MCs 表达强烈的细胞质类胰蛋白酶和 Tβ4 免疫反应性,而无糜蛋白酶反应性。在唾液腺肿瘤和乳腺导管浸润性癌中,肿瘤浸润和肿瘤周围的肥大细胞中检测到 Tβ4 的强表达。肿瘤浸润性 MCs 也表现出强烈的糜蛋白酶和类胰蛋白酶免疫反应性。在本文中,我们首次证明正常真皮和黏膜肥大细胞表达强烈的胸腺素β4,这可以被认为是识别皮肤活检和人类肿瘤中肥大细胞的新标志物。在未来的研究中,需要进一步考虑肿瘤浸润性肥大细胞中 Tβ4 表达程度与肿瘤行为之间的可能关系。

https://cdn.ncbi.nlm.nih.gov/pmc/blobs/2175/3167296/5e0bae3bde9c/ejh-2010-1-e3-g001.jpg

文献AI研究员

20分钟写一篇综述,助力文献阅读效率提升50倍。

立即体验

用中文搜PubMed

大模型驱动的PubMed中文搜索引擎

马上搜索

文档翻译

学术文献翻译模型,支持多种主流文档格式。

立即体验