Suppr超能文献

GLUT1 和 GLUT3 可作为口腔鳞状细胞癌的潜在预后标志物。

GLUT1 and GLUT3 as potential prognostic markers for Oral Squamous Cell Carcinoma.

机构信息

Department of Anatomic Pathology, Hospital A.C Camargo, São Paulo, Rua Antonio Prudente, São Paulo, SP, Brazil.

出版信息

Molecules. 2010 Apr 1;15(4):2374-87. doi: 10.3390/molecules15042374.

Abstract

UNLABELLED

We associated clinical-pathological features of 142 OSCC with the expression pattern of GLUT1 and GLUT3 in order to estimate their prognostic value.

METHODS

Clinical-pathological features and overall survival data of 142 patients with Oral Squamous Cell Carcinoma (OSCC) were retrospectively reviewed from A.C.Camargo hospital records. A tissue microarray (TMA) was built for the immunohistochemical (IHC) analysis of GLUT 1 and GLUT 3. IHC results were evaluated according to the staining pattern and number of positive cells.

RESULTS

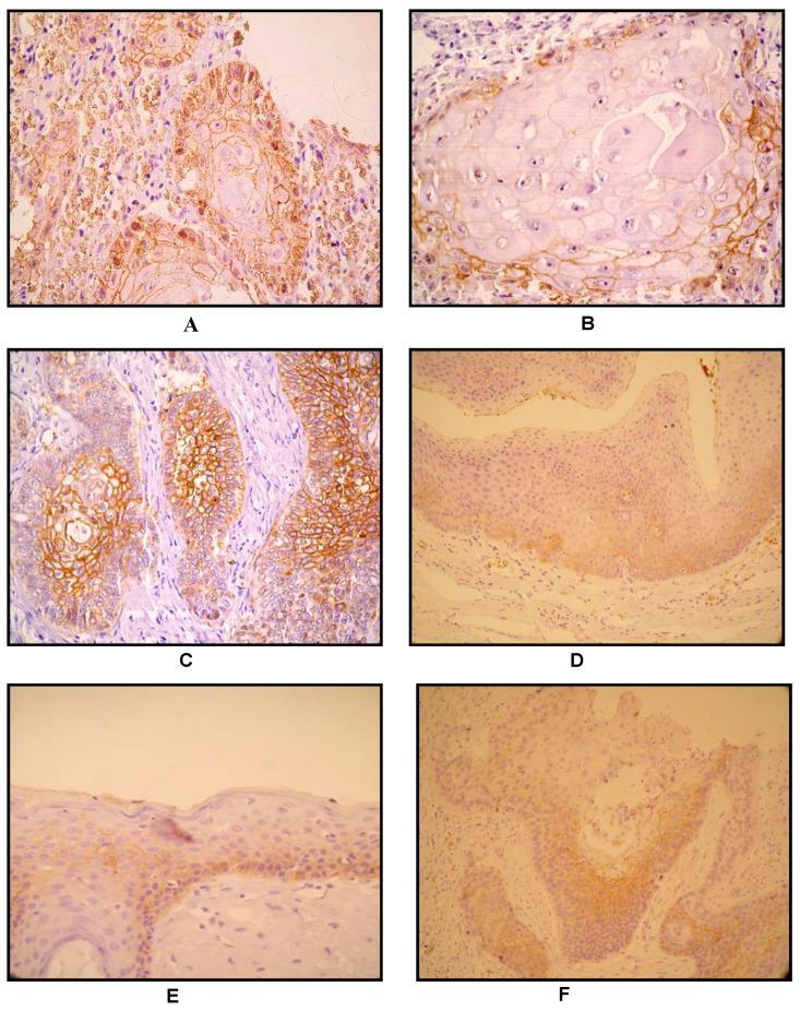
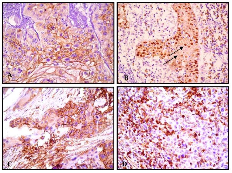
GLUT 1 was over expressed in 50.3% of OSSC cases showing membrane staining pattern. However, nuclear expression was observed in 49.7% of the analyzed cases. GLUT 3 over expression was detected in 21.1% of OSCC cases. The pattern of GLUT 1 expression showed significant association with alcohol consumption (p = 0.004). Positive cell membrane GLUT 3 protein expression was associated with advanced clinic-staging of tumours (p = 0.005) as well as with vascular embolization (p = 0.005). Positive expression of GLUT 3 was associated with unfavorable free-disease survival (p = 0.021).

CONCLUSION

GLUT1 and GLUT3 protein expression evaluated by immunohistochemistry are, significantly, indicators of poor prognosis outcome in oral squamous cell carcinoma, probably due to the enhanced glycolytic metabolism of more aggressive neoplastic cells.

摘要

未加标签

我们将 142 例口腔鳞状细胞癌(OSCC)的临床病理特征与 GLUT1 和 GLUT3 的表达模式相关联,以评估其预后价值。

方法

从 A.C.Camargo 医院的记录中回顾性地审查了 142 例口腔鳞状细胞癌(OSCC)患者的临床病理特征和总生存数据。建立了组织微阵列(TMA),用于 GLUT1 和 GLUT3 的免疫组织化学(IHC)分析。根据染色模式和阳性细胞数评估 IHC 结果。

结果

GLUT1 在 50.3%的 OSSC 病例中过表达,显示膜染色模式。然而,在分析的病例中,有 49.7%观察到核表达。GLUT3 过表达在 21.1%的 OSCC 病例中检测到。GLUT1 表达模式与酒精消费显著相关(p = 0.004)。阳性细胞膜 GLUT3 蛋白表达与肿瘤的晚期临床分期相关(p = 0.005),以及血管栓塞相关(p = 0.005)。GLUT3 的阳性表达与无病生存不良相关(p = 0.021)。

结论

通过免疫组织化学评估的 GLUT1 和 GLUT3 蛋白表达是口腔鳞状细胞癌不良预后的显著指标,可能是由于侵袭性肿瘤细胞增强的糖酵解代谢所致。

https://cdn.ncbi.nlm.nih.gov/pmc/blobs/34ed/6257354/f3c3fed4cb9a/molecules-15-02374-g001.jpg

文献AI研究员

20分钟写一篇综述,助力文献阅读效率提升50倍。

立即体验

用中文搜PubMed

大模型驱动的PubMed中文搜索引擎

马上搜索

文档翻译

学术文献翻译模型,支持多种主流文档格式。

立即体验