Chowdhary Abhineet, Abel Taylor J, Gabikian Patrik, Britz Gavin W
Department of Neurological Surgery, Harborview Medical Center, University of Washington School of Medicine, 401 Broadway, 5th Floor, Patricia Steele Building, Seattle, WA 98103, USA.
Case Rep Med. 2010;2010:245259. doi: 10.1155/2010/245259. Epub 2010 May 25.
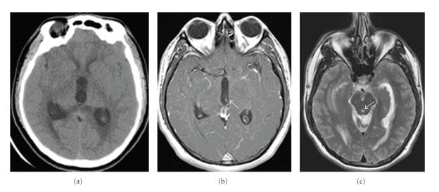
Neurocysticercosis is endemic in the developing world, but is becoming more common in the US due to immigration. A 24-year-old man presented with acute hydrocephalus and headaches, nausea, and vomiting. Head CT revealed a 3rd ventricular cyst and immunological studies were suggestive of neurocysticercosis. EVD placement resulted in migration of the cyst interiorly and superiorly with return of normal CSF flow by MRI and resolution of symptoms. Review of this condition is important given increasing incidence in the United States.
神经囊尾蚴病在发展中国家呈地方性流行,但由于移民因素,在美国正变得越来越常见。一名24岁男性出现急性脑积水,并伴有头痛、恶心和呕吐。头部CT显示第三脑室有囊肿,免疫学检查提示为神经囊尾蚴病。通过脑室引流术(EVD),囊肿向内侧和上方移位,磁共振成像(MRI)显示脑脊液流动恢复正常,症状缓解。鉴于在美国发病率不断上升,对这种疾病进行综述很重要。