Suppr超能文献

腹腔镜完全腹膜外腹股沟疝修补术中发生气胸 - 1 例报告。

Pneumothorax during laparoscopic totally extraperitoneal inguinal hernia repair -A case report-.

机构信息

Department of Anesthesiology and Pain Medicine, Chungju Hospital, Konkuk University School of Medicine, Chungju, Korea.

出版信息

Korean J Anesthesiol. 2010 May;58(5):490-4. doi: 10.4097/kjae.2010.58.5.490. Epub 2010 May 31.

Abstract

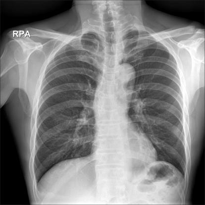
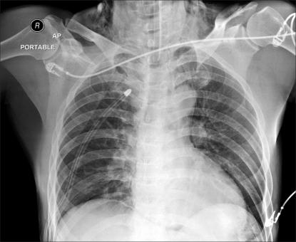
We experienced an extremely rare complication during performance of laparoscopic totally extraperitoneal (TEP) inguinal hernia repair for a 57-year-old healthy man. About 50 minutes after CO(2) insufflation, the patient developed tachycardia, hypoxemia, hypercapnia and an increased airway pressure. Right pneumothorax with subcutaneous emphysema was recognized on the emergency chest X-ray and this was successfully treated by chest tube insertion. Anesthesiologists should be aware of the possible occurrence of pneumothorax during laparoscopic TEP hernia repair.

摘要

我们在为一名 57 岁健康男性行腹腔镜完全腹膜外(TEP)腹股沟疝修补术中遇到了一种极其罕见的并发症。在二氧化碳充气约 50 分钟后,患者出现心动过速、低氧血症、高碳酸血症和气道压力升高。急诊胸片显示右侧气胸伴皮下气肿,经胸腔引流管插入成功治疗。麻醉师应意识到在腹腔镜 TEP 疝修补术中可能发生气胸。

https://cdn.ncbi.nlm.nih.gov/pmc/blobs/0f3f/2881527/811de721a675/kjae-58-490-g001.jpg

文献AI研究员

20分钟写一篇综述,助力文献阅读效率提升50倍。

立即体验

用中文搜PubMed

大模型驱动的PubMed中文搜索引擎

马上搜索

文档翻译

学术文献翻译模型,支持多种主流文档格式。

立即体验