Suppr超能文献

Smad3 抑制剂阻断内皮-间充质转化可延缓链脲佐菌素诱导的糖尿病肾病的早期发展。

Blockade of endothelial-mesenchymal transition by a Smad3 inhibitor delays the early development of streptozotocin-induced diabetic nephropathy.

机构信息

Department of Anatomy and Developmental Biology, Monash University, Victoria, Australia.

出版信息

Diabetes. 2010 Oct;59(10):2612-24. doi: 10.2337/db09-1631. Epub 2010 Aug 3.

Abstract

OBJECTIVE

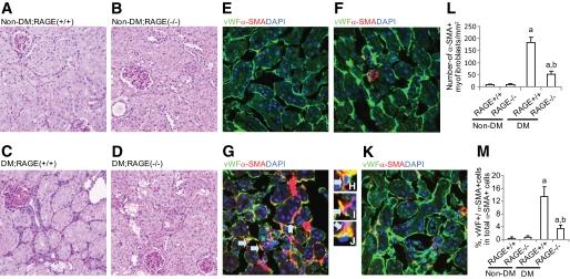
A multicenter, controlled trial showed that early blockade of the renin-angiotensin system in patients with type 1 diabetes and normoalbuminuria did not retard the progression of nephropathy, suggesting that other mechanism(s) are involved in the pathogenesis of early diabetic nephropathy (diabetic nephropathy). We have previously demonstrated that endothelial-mesenchymal-transition (EndoMT) contributes to the early development of renal interstitial fibrosis independently of microalbuminuria in mice with streptozotocin (STZ)-induced diabetes. In the present study, we hypothesized that blocking EndoMT reduces the early development of diabetic nephropathy.

RESEARCH DESIGN AND METHODS

EndoMT was induced in a mouse pancreatic microvascular endothelial cell line (MMEC) in the presence of advanced glycation end products (AGEs) and in the endothelial lineage-traceble mouse line Tie2-Cre;Loxp-EGFP by administration of AGEs, with nonglycated mouse albumin serving as a control. Phosphorylated Smad3 was detected by immunoprecipitation/Western blotting and confocal microscopy. Blocking studies using receptor for AGE siRNA and a specific inhibitor of Smad3 (SIS3) were performed in MMECs and in STZ-induced diabetic nephropathy in Tie2-Cre;Loxp-EGFP mice.

RESULTS

Confocal microscopy and real-time PCR demonstrated that AGEs induced EndoMT in MMECs and in Tie2-Cre;Loxp-EGFP mice. Immunoprecipitation/Western blotting showed that Smad3 was activated by AGEs but was inhibited by SIS3 in MMECs and in STZ-induced diabetic nephropathy. Confocal microscopy and real-time PCR further demonstrated that SIS3 abrogated EndoMT, reduced renal fibrosis, and retarded progression of nephropathy.

CONCLUSIONS

EndoMT is a novel pathway leading to early development of diabetic nephropathy. Blockade of EndoMT by SIS3 may provide a new strategy to retard the progression of diabetic nephropathy and other diabetes complications.

摘要

目的

一项多中心对照试验表明,1 型糖尿病伴正常白蛋白尿患者早期阻断肾素-血管紧张素系统并不能延缓肾病进展,这表明早期糖尿病肾病(糖尿病肾病)的发病机制涉及其他机制。我们之前的研究表明,内皮-间充质转化(EndoMT)在链脲佐菌素(STZ)诱导的糖尿病小鼠中独立于微量白蛋白尿,有助于早期肾间质纤维化的发生。在本研究中,我们假设阻断 EndoMT 可减少糖尿病肾病的早期发生。

研究设计和方法

在存在晚期糖基化终产物(AGEs)和内皮谱系可追踪的小鼠谱系 Tie2-Cre;Loxp-EGFP 的情况下,通过给予 AGEs,在小鼠胰腺微血管内皮细胞系(MMEC)中诱导 EndoMT,以非糖化小鼠白蛋白作为对照。通过免疫沉淀/Western 印迹和共聚焦显微镜检测磷酸化 Smad3。在 MMEC 和 Tie2-Cre;Loxp-EGFP 小鼠的 STZ 诱导的糖尿病肾病中,使用 AGE 受体 siRNA 和 Smad3 的特异性抑制剂(SIS3)进行阻断研究。

结果

共聚焦显微镜和实时 PCR 显示 AGEs 诱导 MMEC 和 Tie2-Cre;Loxp-EGFP 小鼠的 EndoMT。免疫沉淀/Western 印迹显示,AGEs 激活了 MMEC 和 STZ 诱导的糖尿病肾病中的 Smad3,但 SIS3 抑制了 Smad3。共聚焦显微镜和实时 PCR 进一步表明,SIS3 阻断了 EndoMT,减少了肾纤维化,并延缓了肾病的进展。

结论

EndoMT 是导致糖尿病肾病早期发生的新途径。SIS3 阻断 EndoMT 可能为延缓糖尿病肾病和其他糖尿病并发症的进展提供新策略。

https://cdn.ncbi.nlm.nih.gov/pmc/blobs/faa6/3279546/6720e1388583/zdb0101063030001.jpg

文献AI研究员

20分钟写一篇综述,助力文献阅读效率提升50倍。

立即体验

用中文搜PubMed

大模型驱动的PubMed中文搜索引擎

马上搜索

文档翻译

学术文献翻译模型,支持多种主流文档格式。

立即体验