Department of Microbiology and Molecular Genetics, The Hebrew University of Jerusalem, Jerusalem, 91120, Israel.
Malar J. 2010 Aug 9;9:227. doi: 10.1186/1475-2875-9-227.
Artemisinins are the newest class of drug approved for malaria treatment. Due to their unique mechanism of action, rapid effect on Plasmodium, and high efficacy in vivo, artemisinins have become essential components of malaria treatment. Administration of artemisinin derivatives in combination with other anti-plasmodials has become the first-line treatment for uncomplicated falciparum malaria. However, their efficiency in cases of cerebral malaria (CM) remains to be determined.
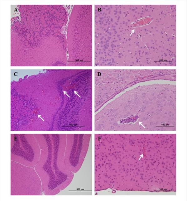
The efficacy of several artemisinin derivatives for treatment of experimental CM was evaluated in ICR or C57BL/6 mice infected by Plasmodium berghei ANKA. Both mouse strains serve as murine models for CM.
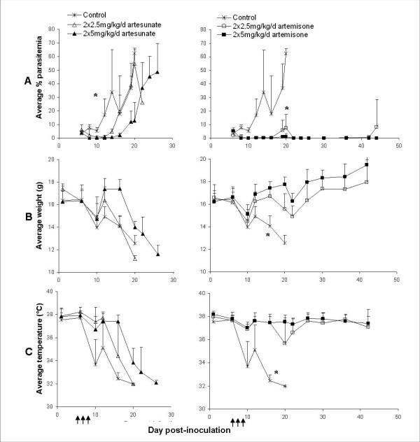
Artemisone was the most efficient drug tested, and could prevent death even when administered at relatively late stages of cerebral pathogenesis. No parasite resistance to artemisone was detected in recrudescence. Co-administration of artemisone together with chloroquine was more effective than monotherapy with either drug, and led to complete cure. Artemiside was even more effective than artemisone, but this substance has yet to be submitted to preclinical toxicological evaluation.
Altogether, the results support the use of artemisone for combined therapy of CM.
青蒿素类药物是最新批准用于疟疾治疗的一类药物。由于其独特的作用机制、对疟原虫的快速作用以及体内的高效性,青蒿素类药物已成为疟疾治疗的重要组成部分。青蒿素衍生物与其他抗疟药物联合使用已成为治疗无并发症恶性疟的一线药物。然而,其在脑型疟疾(CM)中的疗效仍有待确定。
在感染伯氏疟原虫 ANKA 的 ICR 或 C57BL/6 小鼠中评估了几种青蒿素衍生物治疗实验性 CM 的疗效。这两种小鼠品系均为 CM 的小鼠模型。
青蒿琥酯是测试中最有效的药物,即使在脑发病的相对晚期给药,也能预防死亡。在复发中未检测到对青蒿琥酯的寄生虫耐药性。青蒿琥酯与氯喹联合给药比单一药物治疗更有效,可完全治愈。青蒿琥酯甚至比青蒿琥酯更有效,但该物质尚未进行临床前毒理学评估。
总之,这些结果支持将青蒿琥酯用于 CM 的联合治疗。