Ioannou Savvas, Hatzis Gregorios, Vlahadami Ioanna, Voulgarelis Michael
Department of Pathophysiology, Medical School, National University of Athens, Athens, Greece.
J Med Case Rep. 2010 Aug 12;4:268. doi: 10.1186/1752-1947-4-268.
Hepatitis-associated aplastic anemia is a common syndrome in patients with bone marrow failure. However, hepatitis-associated aplastic anemia is an immune-mediated disease that does not appear to be caused by any of the known hepatitis viruses including hepatitis C virus. In addition, to the best of our knowledge there are no reported cases of patients with chronic hepatitis C virus infection developing aplastic anemia associated with pegylated interferon alpha 2a treatment.
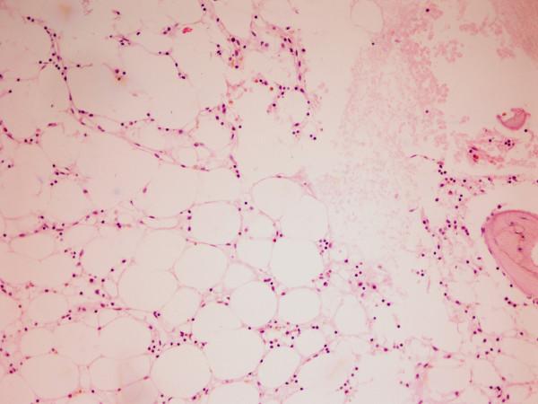
We report the case of a 46-year-old Greek man who developed severe aplastic anemia during treatment with pegylated interferon alpha 2a for chronic hepatitis C virus infection. He presented with generalized purpura and bruising, as well as pallor of the skin and mucous membranes. His blood tests showed pancytopenia. He underwent allogeneic bone marrow transplantation after completing two courses of immunosuppressive therapy with antithymocyte globulin and cyclosporin A.
The combination of a specific environmental precipitant represented by the hepatitis C virus infection, an altered metabolic detoxification pathway due to treatment with pegylated interferon alpha 2a and a facilitating genetic background such as polymorphism in metabolic detoxification pathways and specific human leukocyte antigen genes possibly conspired synergistically in the development of aplastic anemia in this patient. Our case clearly shows that the causative role of pegylated interferon alpha 2a in the development of aplastic anemia must not be ignored.