Suppr超能文献

TcVac2 对感染克氏锥虫的小鼠的预防效果。

Prophylactic efficacy of TcVac2 against Trypanosoma cruzi in mice.

机构信息

Department of Microbiology and Immunology, University of Texas Medical Branch, Galveston, Texas, United States of America.

出版信息

PLoS Negl Trop Dis. 2010 Aug 10;4(8):e797. doi: 10.1371/journal.pntd.0000797.

Abstract

BACKGROUND

Chagas disease is a major health problem in Latin America, and an emerging infectious disease in the US. Previously, we have screened the Trypanosoma cruzi sequence database by a computational/bioinformatics approach, and identified antigens that exhibited the characteristics of vaccine candidates.

METHODOLOGY

We investigated the protective efficacy of a multi-component DNA-prime/protein-boost vaccine (TcVac2) constituted of the selected candidates and cytokine (IL-12 and GM-CSF) expression plasmids in a murine model. C57BL/6 mice were immunized with antigen-encoding plasmids plus cytokine adjuvants, followed by recombinant proteins; and two-weeks later, challenged with T. cruzi trypomastigotes. ELISA and flow cytometry were employed to measure humoral (antibody isotypes) and cellular (lymphocyte proliferation, CD4(+) and CD8(+) T cell phenotype and cytokines) responses. Myocardial pathology was evaluated by H&E and Masson's trichrome staining.

PRINCIPAL FINDINGS

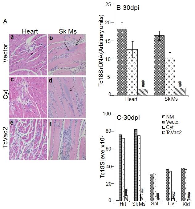
TcVac2 induced a strong antigen-specific antibody response (IgG2b>IgG1) and a moderate level of lymphocyte proliferation in mice. Upon challenge infection, TcVac2-vaccinated mice expanded the IgG2b/IgG1 antibodies and elicited a substantial CD8(+) T cell response associated with type 1 cytokines (IFN-gamma and TNF-alpha) that resulted in control of acute parasite burden. During chronic phase, antibody response persisted, splenic activation of CD8(+) T cells and IFN-gamma/TNF-alpha cytokines subsided, and IL-4/IL-10 cytokines became dominant in vaccinated mice. The tissue parasitism, inflammation, and fibrosis in heart and skeletal muscle of TcVac2-vaccinated chronic mice were undetectable by histological techniques. In comparison, mice injected with vector or cytokines only responded to T. cruzi by elicitation of a mixed (type 1/type 2) antibody, T cell and cytokine response, and exhibited persistent parasite burden and immunopathology in the myocardium.

CONCLUSION

TcVac2-induced activation of type 1 antibody and lymphocyte responses provided resistance to acute T. cruzi infection, and consequently, prevented the evolution of chronic immunopathology associated with parasite persistence in chagasic hearts.

摘要

背景

恰加斯病是拉丁美洲的一个主要卫生问题,也是美国出现的一种新出现的传染病。此前,我们通过计算/生物信息学方法筛选了克氏锥虫序列数据库,并鉴定出具有疫苗候选物特征的抗原。

方法

我们在小鼠模型中研究了由选定候选物和细胞因子(IL-12 和 GM-CSF)表达质粒组成的多组分 DNA-prime/protein-boost 疫苗(TcVac2)的保护效力。C57BL/6 小鼠用抗原编码质粒加细胞因子佐剂免疫,然后用重组蛋白加强免疫;两周后,用克氏锥虫锥虫感染。采用 ELISA 和流式细胞术测量体液(抗体同种型)和细胞(淋巴细胞增殖、CD4+和 CD8+T 细胞表型和细胞因子)反应。通过 H&E 和 Masson 三色染色评估心肌病理学。

主要发现

TcVac2 诱导了强烈的抗原特异性抗体反应(IgG2b>IgG1)和中等水平的淋巴细胞增殖。在感染挑战时,TcVac2 疫苗接种的小鼠扩大了 IgG2b/IgG1 抗体,并引起了大量与 1 型细胞因子(IFN-γ和 TNF-α)相关的 CD8+T 细胞反应,从而控制了急性寄生虫负担。在慢性期,抗体反应持续存在,脾脏 CD8+T 细胞激活和 IFN-γ/TNF-α细胞因子消退,IL-4/IL-10 细胞因子在疫苗接种小鼠中占主导地位。通过组织学技术,在 TcVac2 疫苗接种的慢性小鼠的心脏和骨骼肌中未检测到寄生虫、炎症和纤维化。相比之下,仅用载体或细胞因子注射的小鼠通过引发混合(1 型/2 型)抗体、T 细胞和细胞因子反应来应对克氏锥虫,并且在心肌中持续存在寄生虫负担和免疫病理学。

结论

TcVac2 诱导的 1 型抗体和淋巴细胞反应的激活为急性克氏锥虫感染提供了抵抗力,从而防止了与寄生虫持续存在相关的慢性免疫病理学的发展在恰加斯病的心脏。

https://cdn.ncbi.nlm.nih.gov/pmc/blobs/e9a1/2919396/fbda75da3769/pntd.0000797.g001.jpg

文献AI研究员

20分钟写一篇综述,助力文献阅读效率提升50倍。

立即体验

用中文搜PubMed

大模型驱动的PubMed中文搜索引擎

马上搜索

文档翻译

学术文献翻译模型,支持多种主流文档格式。

立即体验