Suppr超能文献

Primary Lymphoma of the Kidney in an Adult Male - The First Reported Case from Iran.

作者信息

Moslemi Mohammad Kazem, Tahvildar Seiied Ali, Ashtari Abdo-Al-Reza

机构信息

Department of Urology, Kamkar Hospital, School of Medicine, Qom Medical Sciences University, Qom, Iran.

出版信息

Case Rep Oncol. 2010 Mar 24;3(1):72-76. doi: 10.1159/000298470.

Abstract

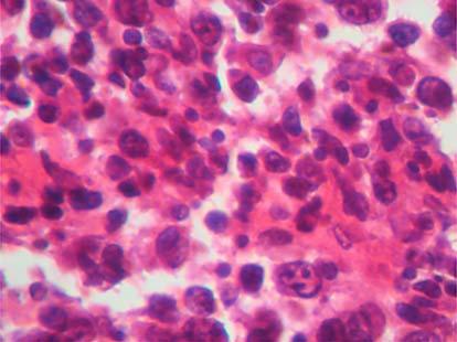
We report a case of primary renal lymphoma in a 48-year-old man. He was admitted with a large homogenous right renal mass that was revealed by computed tomography scan of the abdomen and pelvis. The patient underwent transperitoneal right radical nephrectomy. Pathologic diagnosis was in favor of primary renal lymphoma.

摘要
https://cdn.ncbi.nlm.nih.gov/pmc/blobs/9456/2918847/659c4bc1c414/cro0003-0072-f01.jpg

文献AI研究员

20分钟写一篇综述,助力文献阅读效率提升50倍。

立即体验

用中文搜PubMed

大模型驱动的PubMed中文搜索引擎

马上搜索

文档翻译

学术文献翻译模型,支持多种主流文档格式。

立即体验