Suppr超能文献

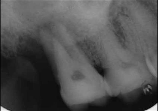
Maxillary right second molar with two palatal root canals.

作者信息

Prashanth M B, Jain Pradeep, Patni Pallav

机构信息

Department of Endodontics and Conservative Dentistry, Devi Ahilya University, Sri Aurobindo College of Dentistry, Indore, MP- 01, India.

出版信息

J Conserv Dent. 2010 Apr;13(2):94-6. doi: 10.4103/0972-0707.66720.

Abstract

We report a clinical case of maxillary right second molar with two palatal root canals. The morphology is atypical because it is characterized by two palatal roots with two canals with widely separated orifices and canals. Modifications to the normal access opening and examination of the pulpal floor for additional canals are stressed.

摘要
https://cdn.ncbi.nlm.nih.gov/pmc/blobs/006f/2936098/c194b24cb69f/JCD-13-94-g001.jpg

文献AI研究员

20分钟写一篇综述,助力文献阅读效率提升50倍。

立即体验

用中文搜PubMed

大模型驱动的PubMed中文搜索引擎

马上搜索

文档翻译

学术文献翻译模型,支持多种主流文档格式。

立即体验