Department of Pathology and Laboratory Medicine, Section of Neuropathology, University of California, Los Angeles, Los Angeles, CA, USA.
J Neurooncol. 2011 May;102(3):477-84. doi: 10.1007/s11060-010-0335-1. Epub 2010 Sep 25.
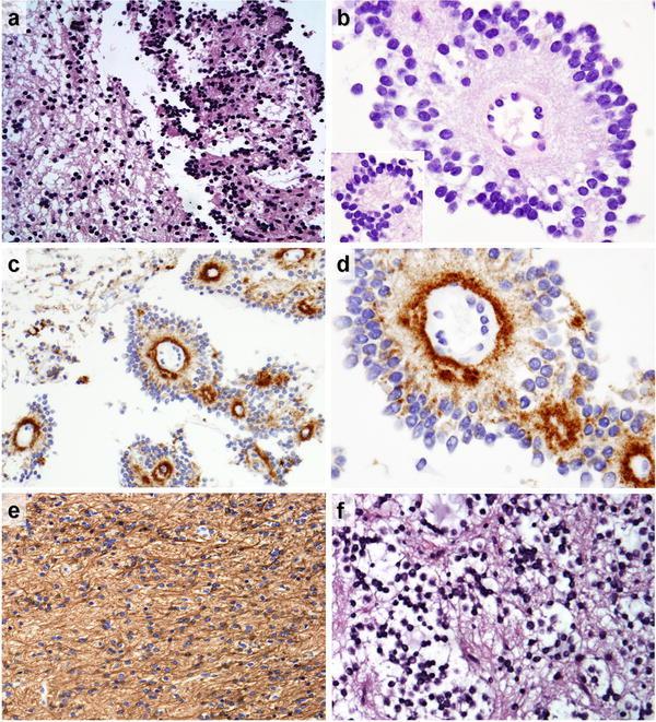
Rosette-forming glioneuronal tumor (RGNT) of the fourth ventricle is a mixed glio-neuronal neoplasm recently codified by the World Health Organization WHO Classification of Central Nervous System (CNS) Tumors (2007). To date, 43 cases have been described in the literature; most occurring in the fourth ventricle region. We report the fourth case involving the pineal region in a 16-year-old female with signs of increased intracranial pressure (ICP). A stereotactic biopsy of the mass was followed by a debulking procedure. Both specimens revealed classic RGNT histology. The patient had stable scans 7 months post-resection. The clinical, radiological and histopathologic features of the previously described 43 cases are reviewed along with our illustrative case. Mean age of patients was 30 ± 12.8 years with 1.9:1 female to male ratio. The most common presenting signs related to increased ICP and posterior fossa involvement, including: headache (62.8%), ataxia (39.5%) and vomiting and vertigo (both 16.3%). This tumor usually presents with cystic changes (54.5%) with focal enhancement (60.9%) and hydrocephalus (43.2%). Microcalcifications and satellite lesions were common radiographic observations. All reported cases had the classic biphasic pattern. Rosenthal fibers and eosinophilic granular bodies are each present in approximately two thirds of cases. Ki-67 labeling index is consistently low (mean (%): 1.8 ± 0.75 SD). The isocitrate dehydrogenase 1 or 2 mutation found in low grade diffuse gliomas is not identified in this RGNT case. Reported outcome is nearly uniformly excellent after complete or subtotal resection. A solitary report of recurrence after 10 years and the limited experience with this entity suggest that long term follow up is advisable.
第四脑室胶神经元肿瘤(RGNT)是一种混合性神经胶质神经元肿瘤,最近被世界卫生组织中枢神经系统(CNS)肿瘤分类(2007 年)收录。迄今为止,文献中已有 43 例报道;大多数发生在第四脑室区域。我们报告了第四例涉及 16 岁女性松果体区域的病例,该患者有颅内压升高(ICP)的迹象。对肿块进行立体定向活检后进行了部分切除术。两个标本均显示出典型的 RGNT 组织学。切除后 7 个月患者的扫描结果稳定。我们回顾了以前描述的 43 例病例的临床、放射学和组织病理学特征,以及我们的病例。患者的平均年龄为 30 ± 12.8 岁,女性与男性的比例为 1.9:1。最常见的表现与 ICP 升高和后颅窝受累有关,包括:头痛(62.8%)、共济失调(39.5%)、呕吐和眩晕(均为 16.3%)。这种肿瘤通常表现为囊性改变(54.5%),伴有局灶性增强(60.9%)和脑积水(43.2%)。微钙化和卫星病变是常见的影像学观察结果。所有报告的病例均具有经典的双相模式。罗森塔尔纤维和嗜酸性颗粒体各约占病例的三分之二。Ki-67 标记指数始终较低(平均值(%):1.8 ± 0.75 SD)。在这种 RGNT 病例中,未发现低级别弥漫性神经胶质瘤中发现的异柠檬酸脱氢酶 1 或 2 突变。完全或部分切除后的报道结果几乎都是极好的。仅有 1 例报告在 10 年后复发,并且对这种肿瘤的经验有限,这表明需要进行长期随访。