Institute for Systems Biology, Seattle, Washington, USA.
Nat Immunol. 2010 Dec;11(12):1136-42. doi: 10.1038/ni.1960. Epub 2010 Nov 7.
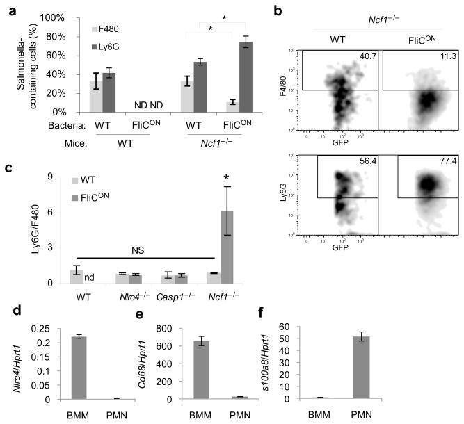
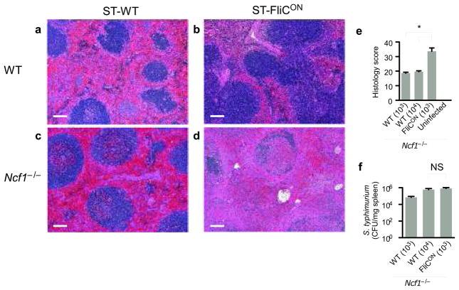
Macrophages mediate crucial innate immune responses via caspase-1-dependent processing and secretion of interleukin 1β (IL-1β) and IL-18. Although infection with wild-type Salmonella typhimurium is lethal to mice, we show here that a strain that persistently expresses flagellin was cleared by the cytosolic flagellin-detection pathway through the activation of caspase-1 by the NLRC4 inflammasome; however, this clearance was independent of IL-1β and IL-18. Instead, caspase-1-induced pyroptotic cell death released bacteria from macrophages and exposed the bacteria to uptake and killing by reactive oxygen species in neutrophils. Similarly, activation of caspase-1 cleared unmanipulated Legionella pneumophila and Burkholderia thailandensis by cytokine-independent mechanisms. This demonstrates that activation of caspase-1 clears intracellular bacteria in vivo independently of IL-1β and IL-18 and establishes pyroptosis as an efficient mechanism of bacterial clearance by the innate immune system.
巨噬细胞通过依赖半胱天冬酶-1(caspase-1)的加工和白细胞介素 1β(IL-1β)和 IL-18 的分泌来介导重要的先天免疫反应。尽管野生型鼠伤寒沙门氏菌(Salmonella typhimurium)的感染对小鼠是致命的,但我们在这里表明,通过 NLRC4 炎性体激活 caspase-1,持续表达鞭毛蛋白的菌株通过细胞质鞭毛检测途径被清除;然而,这种清除与 IL-1β 和 IL-18 无关。相反,caspase-1 诱导的细胞焦亡将细菌从巨噬细胞中释放出来,并使细菌暴露于中性粒细胞中的活性氧的摄取和杀伤。同样,caspase-1 的激活通过细胞因子非依赖性机制清除了未处理的嗜肺军团菌(Legionella pneumophila)和鲍曼不动杆菌(Burkholderia thailandensis)。这表明,caspase-1 的激活可独立于 IL-1β 和 IL-18 在体内清除细胞内细菌,并确立细胞焦亡是先天免疫系统清除细菌的有效机制。