Suppr超能文献

氯化六甲双胺,一种新型糖基化终产物交联断裂剂,可抑制糖尿病大鼠颈动脉球囊损伤模型中的内膜增生。

Alagebrium chloride, a novel advanced glycation end-product cross linkage breaker, inhibits neointimal proliferation in a diabetic rat carotid balloon injury model.

机构信息

Cardiology Division, Yonsei University College of Medicine, Seoul, Korea.

出版信息

Korean Circ J. 2010 Oct;40(10):520-6. doi: 10.4070/kcj.2010.40.10.520. Epub 2010 Oct 31.

Abstract

BACKGROUND AND OBJECTIVES

Vascular perturbation induced by advanced glycation end-products (AGEs) leads to progression of atherosclerosis, plaque instability, and vascular inflammation, which results in a higher risk of neointimal proliferation. Here we investigated the inhibitory effect of alagebrium chloride (ALT-711), a breaker of AGE-based cross links, on neointimal proliferation in a carotid artery balloon injury model in diabetic rats induced by streptozotocin (STZ).

MATERIALS AND METHODS

Rat aortic vascular smooth muscle cells (RASMCs) were treated with 1-100 µM of alagebrium added 24 hours before the addition of AGEs. This in vivo study was done using 8-week-old male rats that were injected intraperitoneally with 80 mg/kg STZ. Sixteen weeks later, the diabetic rats were treated with 10 mg/kg alagebrium for 4 weeks, after which carotid artery balloon injury was induced. After 4 weeks, the animals were sacrificed for histological analysis.

RESULTS

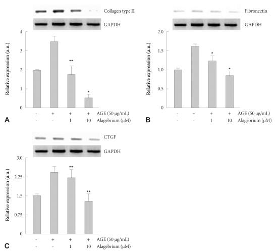
Proliferation of RASMCs was significantly inhibited in alagebrium-treated cells. Alagebrium dose-dependently inhibited AGE-mediated formation of reactive oxygen species (ROS), extracellular signal-regulated kinase phosphorylation, and cyclooxygenase-2 expression. The cellular mechanisms of AGE-induced connective tissue and extracellular matrix expression were decreased in the alagebrium-treated group. This in vivo study shows that expression of AGE receptors and neointima hyperplasia are significantly suppressed in balloon-injured rats treated with alagebrium.

CONCLUSION

Alagebrium treatment in diabetic rats significantly inhibits neointimal hyperplasia after carotid balloon injury due to its inhibition of intracellular ROS synthesis, which results in inhibition of RASMCs proliferation.

摘要

背景与目的

晚期糖基化终产物(AGEs)引起的血管功能紊乱会导致动脉粥样硬化进展、斑块不稳定和血管炎症,从而增加新生内膜增殖的风险。本研究旨在探讨 AGE 交联断裂剂 ALT-711(阿尔吉林)对链脲佐菌素(STZ)诱导的糖尿病大鼠颈动脉球囊损伤模型中新生内膜增殖的抑制作用。

材料与方法

将浓度为 1-100µM 的阿尔吉林加入大鼠主动脉血管平滑肌细胞(RASMCs)中,24 小时后加入 AGEs。该体内研究采用 8 周龄雄性大鼠,腹腔内注射 80mg/kg STZ。16 周后,糖尿病大鼠给予 10mg/kg 阿尔吉林治疗 4 周,然后进行颈动脉球囊损伤。4 周后,处死动物进行组织学分析。

结果

阿尔吉林处理的细胞中 RASMCs 的增殖明显受到抑制。阿尔吉林呈剂量依赖性地抑制 AGE 介导的活性氧(ROS)形成、细胞外信号调节激酶磷酸化和环氧化酶-2 表达。阿尔吉林处理组中 AGE 诱导的结缔组织和细胞外基质表达的细胞机制减少。该体内研究表明,阿尔吉林治疗可显著抑制球囊损伤大鼠的 AGE 受体表达和新生内膜增生。

结论

由于阿尔吉林抑制细胞内 ROS 合成,从而抑制 RASMCs 增殖,因此在糖尿病大鼠中,阿尔吉林治疗可显著抑制颈动脉球囊损伤后的新生内膜增生。

https://cdn.ncbi.nlm.nih.gov/pmc/blobs/1dbf/2978295/abef46225f67/kcj-40-520-g001.jpg

文献AI研究员

20分钟写一篇综述,助力文献阅读效率提升50倍。

立即体验

用中文搜PubMed

大模型驱动的PubMed中文搜索引擎

马上搜索

文档翻译

学术文献翻译模型,支持多种主流文档格式。

立即体验