Gopal Nn, Chauhan Sps, Yogesh Nitin
Neurosurgery Unit, Department of Surgery, M.L.N Medical College, Allahabad, India.
Indian J Orthop. 2007 Jan;41(1):76-8. doi: 10.4103/0019-5413.30531.
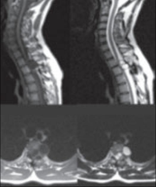
Primary spinal hydatid disease is rare and represents an uncommon but significant manifestation of hydatid disease. We report a case of primary intraspinal extradural hydatid cyst of the thoracic region causing spinal cord compression. The presenting symptoms were mostly atypical and the diagnosis was established preoperatively on the basis of magnetic resonance imaging. The patient underwent surgery resulting in complete recovery and is recurrence-free after 24 months follow-up.
原发性脊柱包虫病较为罕见,是包虫病一种不常见但重要的表现形式。我们报告一例胸段原发性椎管内硬膜外包虫囊肿导致脊髓受压的病例。其临床表现大多不典型,术前通过磁共振成像确诊。患者接受手术治疗后完全康复,随访24个月无复发。