Suppr超能文献

卵巢纤维瘤中发生的血管肉瘤:一例报告

Angiosarcoma arising in an ovarian fibroma: a case report.

作者信息

Cambruzzi Eduardo, Pegas Karla Lais, Milani Daniel Marini, Cruz Ricardo Pedrini, Guerra Enilde Heloena, Ferrari Márcio Balbinotti

机构信息

Laboratório de Patologia, Hospital Conceição de Porto Alegre, Universidade Luterana do Brasil, B. Cristo Redentor, 91350-200 Porto Alegre, RS, Brazil.

出版信息

Patholog Res Int. 2010 Oct 31;2010:842592. doi: 10.4061/2010/842592.

Abstract

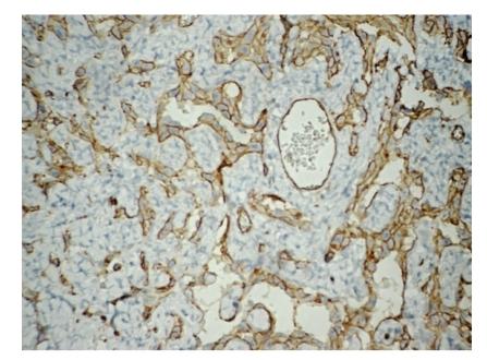
Primary ovarian angiosarcoma is a very rare gynaecological sarcoma, with poor prognosis. These tumors are though to arise from carcinosarcomas, teratomas, or the ovarian vasculature and occur at any age. There are only a few cases reported in the international literature, most commonly associated to surface epithelial-stromal or germ cell tumours. Herein, the authors report the clinicopathologic features of an angiosarcoma arising in an ovarian fibroma. A 65-year-old patient was admitted with a palpable mass in the hypogastrium. Grossly, the removed ovary was completely replaced by a solid tumor mass. On histological analysis, the lesion revealed the typical histological features of angiosarcoma with sinusoidal patterns and anaplastic cells, admixed with spindle-shaped cells arranged in fascicles or in a storiform pattern, compatible with a fibroma. The vascular component was strongly immunopositive for CD31 and CD34. The patient was submitted to chemotherapy, and she was alive for two months after surgical proceedings.

摘要

原发性卵巢血管肉瘤是一种非常罕见的妇科肉瘤,预后较差。这些肿瘤被认为起源于癌肉瘤、畸胎瘤或卵巢脉管系统,可发生于任何年龄。国际文献中仅报道了少数病例,最常见于表面上皮-间质或生殖细胞肿瘤。在此,作者报告了一例发生于卵巢纤维瘤的血管肉瘤的临床病理特征。一名65岁患者因下腹部可触及肿块入院。大体检查,切除的卵巢完全被实性肿瘤块取代。组织学分析显示,病变具有血管肉瘤典型的组织学特征,呈窦状模式和间变细胞,混有呈束状或席纹状排列的梭形细胞,与纤维瘤相符。血管成分对CD31和CD34呈强免疫阳性。该患者接受了化疗,术后存活了两个月。

https://cdn.ncbi.nlm.nih.gov/pmc/blobs/8edd/2989701/7eae26950a64/PRI2010-842592.001.jpg

文献AI研究员

20分钟写一篇综述,助力文献阅读效率提升50倍。

立即体验

用中文搜PubMed

大模型驱动的PubMed中文搜索引擎

马上搜索

文档翻译

学术文献翻译模型,支持多种主流文档格式。

立即体验