Department of Pathology and Diagnostics, University of Verona, P.le Scuro 10, 37134, Verona, Italy.
Cell Oncol (Dordr). 2011 Apr;34(2):141-53. doi: 10.1007/s13402-011-0019-7. Epub 2011 Mar 11.
Mantle cell lymphoma (MCL) is currently an incurable entity, and new therapeutic approaches are needed. We have applied a high-throughput phospho-proteomic technique to MCL cell lines to identify activated pathways and we have then validated our data in both cell lines and tumor tissues.
PhosphoScan analysis was performed on MCL cell lines. Results were validated by flow cytometry and western blotting. Functional validation was performed by blocking the most active pathway in MCL cell lines.
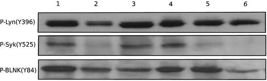
PhosphoScan identified more than 300 tyrosine-phosporylated proteins, among which many protein kinases. The most abundant peptides belonged to proteins connected with B-cell receptor (BCR) signaling. Active BCR signaling was demonstrated by flow cytometry in MCL cells and by western blotting in MCL tumor tissues. Blocking BCR signaling by Syk inhibitor piceatannol induced dose/time-dependent apoptosis in MCL cell lines, as well as several modifications in the phosphorylation status of BCR pathway members and a collapse of cyclin D1 protein levels.
Our data support a pro-survival role of BCR signaling in MCL and suggest that this pathway might be a candidate for therapy. Our findings also suggest that Syk activation patterns might be different in MCL compared to other lymphoma subtypes.
套细胞淋巴瘤(MCL)目前是一种无法治愈的疾病,需要新的治疗方法。我们应用高通量磷酸化蛋白质组学技术来鉴定 MCL 细胞系中的激活途径,并在细胞系和肿瘤组织中验证了我们的数据。
对 MCL 细胞系进行磷酸化扫描分析。通过流式细胞术和 Western blot 验证结果。通过阻断 MCL 细胞系中最活跃的途径来进行功能验证。
磷酸化扫描鉴定了超过 300 种酪氨酸磷酸化蛋白,其中许多是蛋白激酶。最丰富的肽段属于与 B 细胞受体(BCR)信号相关的蛋白质。流式细胞术显示 MCL 细胞中存在活跃的 BCR 信号,Western blot 显示 MCL 肿瘤组织中存在 BCR 信号通路成员的磷酸化状态的改变以及 cyclin D1 蛋白水平的下降。
我们的数据支持 BCR 信号在 MCL 中的生存促进作用,并表明该途径可能是治疗的候选途径。我们的研究结果还表明,与其他淋巴瘤亚型相比,Syk 激活模式在 MCL 中可能不同。