Suppr超能文献

持续性喘息为食管管状重复囊肿的表现。

Persistent wheezing as manifestation of esophageal tubular duplication cyst.

机构信息

Department of Pulmology, Institute for Child and Youth Health Care of Vojvodina, Novi Sad, Serbia.

出版信息

Ups J Med Sci. 2011 Aug;116(3):216-9. doi: 10.3109/03009734.2011.574165. Epub 2011 Apr 19.

Abstract

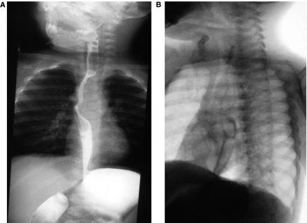
Duplications of esophagus are rare congenital anomalies and the second most common duplications of the gastrointestinal tract. This form of bronchopulmonary foregut malformation may appear as a cystic mediastinal mass. On chest radiographs they may be visible as middle or posterior masses. On CT they are well marginated and oppose the esophagus. Usually they are asymptomatic, unless they become infected or cause obstruction. We report a case of thoracic tubular duplication cyst in a 10-month-old boy who presented with persistent wheezing that was unsuccessfully treated in out-patient services.

摘要

食管重复畸形是一种罕见的先天性异常,是胃肠道第二大常见的重复畸形。这种形式的支气管肺前肠畸形可能表现为囊性纵隔肿块。在胸部 X 线片上,它们可能表现为中或后纵隔肿块。在 CT 上,它们边界清楚,与食管相对。通常情况下,它们无症状,除非感染或引起梗阻。我们报告了 1 例 10 个月大男孩的胸管状重复囊肿病例,该男孩表现为持续性喘息,在外院治疗无效。

https://cdn.ncbi.nlm.nih.gov/pmc/blobs/a435/3128727/e40652e82727/UPS-0300-9734-116-216_g001.jpg

文献AI研究员

20分钟写一篇综述,助力文献阅读效率提升50倍。

立即体验

用中文搜PubMed

大模型驱动的PubMed中文搜索引擎

马上搜索

文档翻译

学术文献翻译模型,支持多种主流文档格式。

立即体验