Suppr超能文献

一名无血液系统疾病的亚急性联合变性女性患者脊髓后柱和侧柱的磁共振成像表现,病变范围从延髓延伸至胸椎:病例报告及文献复习

Magnetic resonance imaging findings within the posterior and lateral columns of the spinal cord extended from the medulla oblongata to the thoracic spine in a woman with subacute combined degeneration without hematologic disorders: a case report and review of the literature.

作者信息

Rabhi Samira, Maaroufi Mustapha, Khibri Hajar, Belahsen Faouzy, Tizniti Siham, Berrady Rhizlane, Bono Wafaa

机构信息

Department of Internal Medicine, Hassan II University Hospital, Fez, Morocco.

出版信息

J Med Case Rep. 2011 Apr 27;5:166. doi: 10.1186/1752-1947-5-166.

Abstract

INTRODUCTION

Subacute combined degeneration of the spinal cord is a rare cause of demyelination of the dorsal and lateral columns of the spinal cord and is a neurological complication of vitamin B12 deficiency. Subacute combined degeneration without anemia or macrocytosis is rare.

CASE PRESENTATION

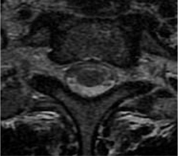
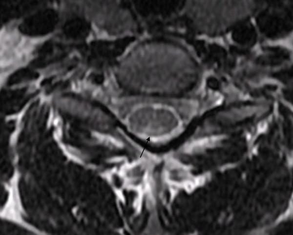
We present a case of cobalamin deficiency in a 29-year-old Moroccan woman who presented with subacute combined degeneration without evidence of anemia or macrocytosis. Magnetic resonance imaging of the spinal cord demonstrated abnormal hyperintense signal changes on T2-weighted imaging of the posterior and lateral columns from the medulla oblongata to the thoracic spine. A diagnosis of subacute combined degeneration of the spinal cord was considered and confirmed by low serum cobalamin. The patient was treated with vitamin B12 supplements and showed improvement in her clinical symptoms.

CONCLUSION

Physicians should diagnose subacute combined degeneration in patients early by having a high index of suspicion and using diagnostic tools such as magnetic resonance imaging.

摘要

引言

脊髓亚急性联合变性是脊髓背侧和外侧柱脱髓鞘的罕见原因,是维生素B12缺乏的一种神经并发症。无贫血或大细胞症的脊髓亚急性联合变性很少见。

病例报告

我们报告一例29岁摩洛哥女性钴胺素缺乏病例,该患者表现为脊髓亚急性联合变性,无贫血或大细胞症证据。脊髓磁共振成像显示,从延髓到胸椎的后柱和侧柱在T2加权成像上有异常高信号改变。考虑诊断为脊髓亚急性联合变性,并通过低血清钴胺素得到证实。患者接受维生素B12补充治疗,临床症状有所改善。

结论

医生应通过高度怀疑并使用磁共振成像等诊断工具,尽早诊断患者的脊髓亚急性联合变性。

https://cdn.ncbi.nlm.nih.gov/pmc/blobs/1de3/3094295/d37d035e964b/1752-1947-5-166-1.jpg

文献AI研究员

20分钟写一篇综述,助力文献阅读效率提升50倍。

立即体验

用中文搜PubMed

大模型驱动的PubMed中文搜索引擎

马上搜索

文档翻译

学术文献翻译模型,支持多种主流文档格式。

立即体验