Suppr超能文献

Penetrating brain stem injury from crossbow bolt: a case report and review of the literature.

作者信息

Salam A A, Eyres K S, Magides A D, Cleary J

机构信息

Orthopaedic Department, Huddersfield Royal Infirmary, U.K.

出版信息

Arch Emerg Med. 1990 Sep;7(3):224-7. doi: 10.1136/emj.7.3.224.

Abstract

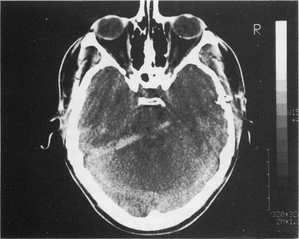
Because injury to the brain stem is usually associated with diffuse brain damage, recovery is rare and mortality high. A non-fatal penetrating injury involving the brain stem is described from a crossbow bolt. The diagnosis and management of such injuries are discussed.

摘要
https://cdn.ncbi.nlm.nih.gov/pmc/blobs/c604/1285706/e4eab5fd7381/archemed00027-0099-a.jpg

文献AI研究员

20分钟写一篇综述,助力文献阅读效率提升50倍。

立即体验

用中文搜PubMed

大模型驱动的PubMed中文搜索引擎

马上搜索

文档翻译

学术文献翻译模型,支持多种主流文档格式。

立即体验