Suppr超能文献

脂磷磷酸酶-3 通过β-catenin 和 CYCLIN-D1 信号通路调节肿瘤生长。

Lipid phosphate phosphatase-3 regulates tumor growth via β-catenin and CYCLIN-D1 signaling.

机构信息

Dept of Pharmacology, University of Illinois, 835 S Wolcott, Room E403, Chicago, IL 60612, USA.

出版信息

Mol Cancer. 2011 May 11;10:51. doi: 10.1186/1476-4598-10-51.

Abstract

BACKGROUND

The acquisition of proliferative and invasive phenotypes is considered a hallmark of neoplastic transformation; however, the underlying mechanisms are less well known. Lipid phosphate phosphatase-3 (LPP3) not only catalyzes the dephosphorylation of the bioactive lipid sphingosine-1-phosphate (S1P) to generate sphingosine but also may regulate embryonic development and angiogenesis via the Wnt pathway. The goal of this study was to determine the role of LPP3 in tumor cells.

RESULTS

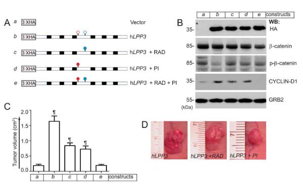
We observed increased expression of LPP3 in glioblastoma primary tumors and in U87 and U118 glioblastoma cell lines. We demonstrate that LPP3-knockdown inhibited both U87 and U118 glioblastoma cell proliferation in culture and tumor growth in xenograft assays. Biochemical experiments provided evidence that LPP3-knockdown reduced β-catenin, CYCLIN-D1, and CD133 expression, with a concomitant increase in phosphorylated β-catenin. In a converse experiment, the forced expression of LPP3 in human colon tumor (SW480) cells potentiated tumor growth via increased β-catenin stability and CYCLIN-D1 synthesis. In contrast, elevated expression of LPP3 had no tumorigenic effects on primary cells.

CONCLUSIONS

These results demonstrate for the first time an unexpected role of LPP3 in regulating glioblastoma progression by amplifying β-catenin and CYCLIN-D1 activities.

摘要

背景

获得增殖和侵袭表型被认为是肿瘤转化的标志;然而,其潜在机制知之甚少。脂质磷酸酶-3(LPP3)不仅催化生物活性脂质鞘氨醇-1-磷酸(S1P)去磷酸化生成鞘氨醇,还可以通过 Wnt 途径调节胚胎发育和血管生成。本研究的目的是确定 LPP3 在肿瘤细胞中的作用。

结果

我们观察到脑胶质瘤原发肿瘤和 U87 和 U118 脑胶质瘤细胞系中 LPP3 的表达增加。我们证明 LPP3 敲低抑制了 U87 和 U118 脑胶质瘤细胞在培养中的增殖和异种移植试验中的肿瘤生长。生化实验提供的证据表明,LPP3 敲低降低了 β-连环蛋白、CYCLIN-D1 和 CD133 的表达,同时磷酸化的 β-连环蛋白增加。在相反的实验中,LPP3 在人结肠肿瘤(SW480)细胞中的强制表达通过增加 β-连环蛋白稳定性和 CYCLIN-D1 合成增强了肿瘤生长。相比之下,LPP3 的高表达对原代细胞没有致瘤作用。

结论

这些结果首次证明了 LPP3 通过放大 β-连环蛋白和 CYCLIN-D1 活性来调节脑胶质瘤进展的意外作用。

https://cdn.ncbi.nlm.nih.gov/pmc/blobs/8d8a/3112429/e83bb489f48c/1476-4598-10-51-1.jpg

文献AI研究员

20分钟写一篇综述,助力文献阅读效率提升50倍。

立即体验

用中文搜PubMed

大模型驱动的PubMed中文搜索引擎

马上搜索

文档翻译

学术文献翻译模型,支持多种主流文档格式。

立即体验