Suppr超能文献

乳腺皮肤颗粒细胞瘤:临床诊断中的一个陷阱。

Cutaneous granular cell tumor of the breast: a clinical diagnostic pitfall.

作者信息

Aneiros-Fernandez Jose, Arias-Santiago Salvador, Husein-Elahmed Husein, Ovalle Francisco, Siendones Maria Ines Aroca, Aneiros-Cachaza Jose

机构信息

Department of Pathology, University Hospital, Granada, Spain.

出版信息

J Clin Med Res. 2010 Aug 18;2(4):185-8. doi: 10.4021/jocmr403w.

Abstract

UNLABELLED

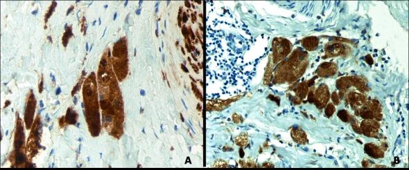
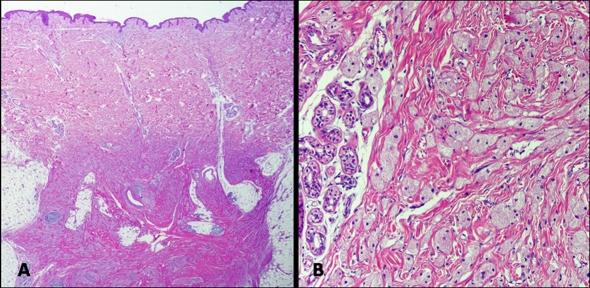
We report the clinical-morphological study of a granular cell tumor in dermal/hypodermal junction and subcutaneous fat left breast of an 83-year-old woman with a family history of breast carcinoma. Mammography study showed a spiculated lesion in the lower inner quadrant with suspicion of malignancy. The results of fine needle puncture-aspiration were inconclusive. Subsequent tumorectomy revealed a poorly-defined indurated lesion of 1.1 x 0.7 cm. The histopathology study showed a proliferation of cells with ample and granular cytoplasm that were positive for S100, CD 68 and inhibin and negative for hormonal receptors. We present a benign lesion that clinically reproduces a breast carcinoma.

KEYWORDS

Granular cell tumor; Breast; Differential diagnosis; Cutaneous.

摘要

未标注

我们报告了一名83岁有乳腺癌家族史女性左乳真皮/皮下交界处及皮下脂肪内颗粒细胞瘤的临床形态学研究。乳腺钼靶检查显示内下象限有一个毛刺状病变,怀疑为恶性。细针穿刺抽吸结果不明确。随后的肿瘤切除术显示有一个边界不清的硬结性病变,大小为1.1×0.7厘米。组织病理学研究显示细胞增殖,细胞质丰富且呈颗粒状,S100、CD 68和抑制素呈阳性,激素受体呈阴性。我们呈现了一个临床上类似乳腺癌的良性病变。

关键词

颗粒细胞瘤;乳腺;鉴别诊断;皮肤

https://cdn.ncbi.nlm.nih.gov/pmc/blobs/2e15/3104657/c692b93e4c76/jocmr-02-185-g001.jpg

文献AI研究员

20分钟写一篇综述,助力文献阅读效率提升50倍。

立即体验

用中文搜PubMed

大模型驱动的PubMed中文搜索引擎

马上搜索

文档翻译

学术文献翻译模型,支持多种主流文档格式。

立即体验